Advertisement intended for health care professionals

l

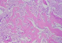
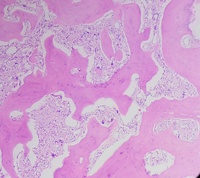
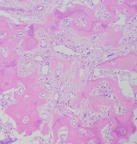
Primary myelofibrosis (PMF) with osteosclerotic progression 1

Primary myelofibrosis (PMF) with osteosclerotic progression 1
#00065708
Author: Dr.Vikram Prabhakar
Category: Myeloid Neoplasms and acute leukemia (WHO 2016) > Myeloproliferative Neoplasms (MPN) > Primary Myelofibrosis (PMF)
Published Date: 09/30/2025

Primary myelofibrosis (PMF) with osteosclerotic progression. Patient presented with pancytopenia and massive splenomegaly


Advertisement intended for health care professionals