Advertisement intended for health care professionals

l

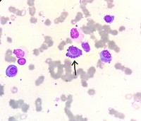
Flame Cells in Bone Marrow Aspirate (2)

Flame Cells in Bone Marrow Aspirate (2)
#00065738
Author: Dr. Richa Bhartiya:; Dr. Vishal Tayade:; Dr. Sayali Kadam:; Dr. Dipika Bongale: GGMC Mumbai
Category: Lymphoma: Mature B-cell and Plasma cell Neoplasms
Published Date: 10/14/2025

Flame cells are distinctive plasma cells with cytoplasmic projections, which stain reddish at the periphery of the cell.

Many dilated endoplasmic reticulum cisterns, enlarged by carbohydrate rich immunoglobulins, are found in the devitalized peripheral cytoplasm. (1)

Both of IgA and non-IgA myelomas, reactive plasmacytosis, and MGUS (monoclonal gammopathy of unknown significance) are associated with flame cells. (2)

The presence of flame cells in plasma cell disorders does not indicate a more aggressive disease course or predict disease progression.

References

1.      Pantanowitz L, Tranovich V, Ballesteros E. Flaming plasma cells. Archives of Pathology & Laboratory Medicine. 2001 Oct 1;125(10):1394-5.

 

2.      Welsh RA. Light and electron microscopic correlation of the periodic acid-Schiff reaction in the human plasma cell. The American Journal of Pathology. 1962 Mar;40(3):285.

Advertisement intended for health care professionals