Advertisement intended for health care professionals

l

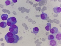
Binucleate plasma cell

Binucleate plasma cell
#00065780
Author: Dr. Pradeep Arumugam, MD,DNB
Category: Lymphoma: Mature B-cell and Plasma cell Neoplasms > Plasma Cell Neoplasm > Plasma cell myeloma
Published Date: 09/10/2025

BINUCLEATE PLASMA CELLS

Advertisement intended for health care professionals