Advertisement intended for health care professionals

l

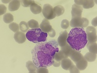
faggot cell

faggot cell
#00065783
Author: Dr. Pradeep Arumugam, MD,DNB
Category: Myeloid Neoplasms and acute leukemia (WHO 2016) > Acute Myeloid Leukemia > Acute Myeloid Leukemia with recurrent genetic abnormalities > AML with t(15;17)(q22;q12); PML-RARA (and variants)
Published Date: 09/10/2025

atypical promyelocyte showing faggot cell

Advertisement intended for health care professionals