Advertisement intended for health care professionals

l

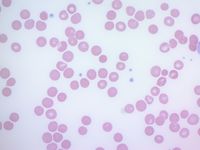
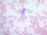
Vacuolated Erythrocytes Figure 1(b)

Vacuolated Erythrocytes Figure 1(b)
#00065800
Author: Emma Morales; Nalan Yurtsever
Category: Laboratory Hematology > Basic cell morphology > Red cell inclusions and abnormalities
Published Date: 09/10/2025

Peripheral blood smear of 26-year-old male one month post splenectomy showing red blood cells with unspecific vacuoles. The vacuoles appear clustered together or individually.  Each vacuole varies in size and in quantity. No visible inclusions are present. Peripheral blood, Wight-Giemsa staining (1000×). 


Advertisement intended for health care professionals