Advertisement intended for health care professionals

l

Chronic myeloid leukaemia 2

Chronic myeloid leukaemia 2
#00065817
Author: Setareh Sheikhi MSc; Moones Toosang MD
Category: Myeloid Neoplasms and acute leukemia (WHO 2016) > Myeloproliferative Neoplasms (MPN) > Chronic Myelogenous Leukemia (CML), BCR-ABL1+
Published Date: 09/10/2025

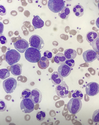
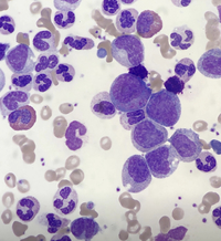
A 46-year-old man presented with progressive fatigue and early satiety. Physical examination revealed splenomegaly. Complete blood count showed leukocytosis (WBC 185 × 10⁹/L), mild anemia (Hb 10.5 g/dL), and thrombocytosis (platelets 520 × 10⁹/L).

Peripheral blood smear demonstrates marked leukocytosis with a full spectrum of granulocytic maturation, including myelocytes, metamyelocytes, and occasional promyelocytes. Eosinophilia is also evident. Red blood cells show mild normocytic, normochromic anemia. Reverse-transcription PCR confirmed the presence of the BCR::ABL1 fusion transcript.


Advertisement intended for health care professionals