Advertisement intended for health care professionals

l

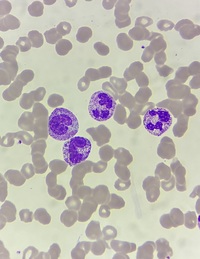
toxic granules

toxic granules
#00065848
Author: Dr. Madhura Jogwar; Dr. Sumitha Baskaran
Category: Laboratory Hematology
Published Date: 09/23/2025

Neutrophils showing presence of toxic granules in a 62 year old with history of sepsis.

Advertisement intended for health care professionals