Advertisement intended for health care professionals

l

Classic Hodgkin Lymphoma with IGH::CCND1 Rearrangement: Evidence of Clonal Relationship with Preceding Mantle Cell Lymphoma

Classic Hodgkin Lymphoma with IGH::CCND1 Rearrangement: Evidence of Clonal Relationship with Preceding Mantle Cell Lymphoma
#00065850
Author: Ahmed Ahmed, MD; Saber Tadros, MD
Category: Lymphoma: Hodgkin Lymphoma > Classical Hodgkin Lymphoma
Published Date: 10/10/2025

A 68-year-old man presented with cervical swelling. Imaging revealed extensive cervical, supraclavicular, mediastinal, and axillary lymphadenopathy. Lymph node biopsy confirmed mantle cell lymphoma (MCL), and FISH confirmed an IGH::CCND1 rearrangement. The patient received six cycles of bendamustine-rituximab and achieved complete remission with undetectable minimal residual disease by ClonoSeq.

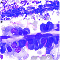
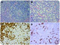
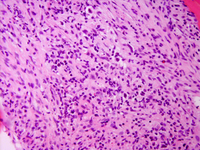
Four months later, PET-CT identified a new FDG-avid left axillary mass. Excisional biopsy showed complete effacement of nodal architecture by a polymorphous infiltrate containing scattered Reed–Sternberg and Hodgkin cells. These cells expressed CD30, CD15, MUM1, PAX5 (weak), and cyclin D1, while negative for ALK, BCL6, CD20 and EBER-ISH. The background was rich in T cells with a mixed CD4/CD8 phenotype, intact expression of CD2, CD5, CD7, and no evidence of follicular helper T-cell phenotype. Follicular dendritic cell meshwork was absent by CD21/CD23. The findings were diagnostic of classic Hodgkin lymphoma (CHL).

Although no morphologic or immunophenotypic features of MCL were present, FISH confirmed persistence of the IGH::CCND1 rearrangement within Hodgkin/Reed–Sternberg cells. Next-generation sequencing detected no pathogenic variants, and ClonoSeq remained negative. The patient received Adriamycin, Bleomycin, Vinblastine, and Dacarbazine (ABVD) and achieved complete remission.

This case illustrates, for the first time, that neoplastic CHL cells can harbor the hallmark IGH::CCND1 rearrangement of antecedent MCL, providing direct evidence of a clonal relationship between the two lymphomas

Advertisement intended for health care professionals