Advertisement intended for health care professionals

l

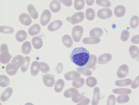
Large granular lymphocyte

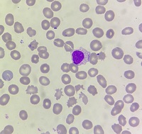
Large granular lymphocyte
#00065856
Author: Sumitha Baskaran; Madhura Jogwar; Metropolis healthcare limited
Category: Laboratory Hematology > Basic cell morphology > Morphologic variants of white blood cells > Large granular lymphocyte
Published Date: 09/30/2025

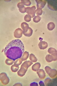
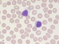
Peripheral smear shows large granular lymphocyte

Advertisement intended for health care professionals