Advertisement intended for health care professionals

l

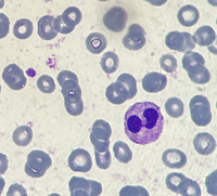
Pseudo-Pelger-Huet neutrophil presence due to reactive leukocytosis caused by infection 2

Pseudo-Pelger-Huet neutrophil presence due to reactive leukocytosis caused by infection 2
#00065859
Author: Seyed Mohammad Sadegh Pezeshki, PhD
Category: Laboratory Hematology > Basic cell morphology > Morphologic variants of white blood cells > Hyposegmented neutrophil  
Published Date: 10/14/2025

This set of images shows a large number of neutrophils with a specific bi-lobed nucleus morphology. By observing this morphology and considering the presence of leukocytosis and neutrophilia in the patient (as evident from the dot diagram of the cell counter analyzer), we suspected either Pelger-Huet anomaly or pseudo-Pelger-Huet change. Additionally, after contacting the patient and reviewing their medical history, we concluded that this morphological finding was due to reactive leukocytosis caused by an active infectious condition.

Pelger–Huët anomaly is a blood laminopathy characterized by neutrophils with nuclei that have unusual shapes, such as bi-lobed, peanut, or dumbbell-shaped, instead of the normal shape. Pseudo-Pelger-Huet is marked by hypo-segmentation of the neutrophil nucleus and chromatin clumping. The acquired Pelger–Huët change can occur in reactive conditions related to severe infections, medications, or drugs like mycophenolate or valproate, myelodysplastic syndromes, or other myeloid stem cell disorders.

Advertisement intended for health care professionals