Advertisement intended for health care professionals

l

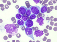
AML with PICALM::MLLT10

AML with PICALM::MLLT10
#00065881
Author: Ke Xu, MD
Category: Myeloid Neoplasms and acute leukemia (WHO 2016) > Acute Myeloid Leukemia
Published Date: 10/07/2025

The bone marrow smear of a patient with acute myeloid leukaemia with PICALM::MLLT10 fusion (May-Grünwald-Giemsa stain ×100 objective) showing medium to large blasts, some with hand-mirror morphology. AML with PICALM::MLLT10 has frequent aberrant CD7 expression, extramedullary disease and a poor prognosis.

Advertisement intended for health care professionals