Advertisement intended for health care professionals

l

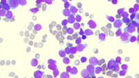
ETP-ALL bone marrow smear

ETP-ALL bone marrow smear
#00065892
Author: Ke Xu, MD
Category: Myeloid Neoplasms and acute leukemia (WHO 2016) > Precursor Lymphoid Neoplasms > T-lymphoblastic leukemia/lymphoma > Early T-cell precursor lymphoblastic leukemia (provisional)
Published Date: 10/07/2025

The bone marrow smear of a patient with ETP-ALL (May-Grünwald-Giemsa stain × 60 objective) showing small to medium sized blasts, some with hand-mirror morphology.


Advertisement intended for health care professionals