Advertisement intended for health care professionals

l

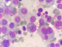
Tetrad Plasmacell

Tetrad Plasmacell
#00065899
Author: Saeid Rezaei Jouzdani, MD
Category: Lymphoma: Mature B-cell and Plasma cell Neoplasms
Published Date: 10/14/2025

A 74 year old man with fractures of multiple vertebrea and Anemia and ESR above 100 with Cr 1.8 admitted to emergency department of Emamreza Hospital in Kermanshah , Iran.

He has monoclonal M component 0.2 gr/dl and history of bone pain since 2 years early.

Advertisement intended for health care professionals