Advertisement intended for health care professionals

l

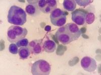
Multi nuclear Plasma Cells

Multi nuclear Plasma Cells
#00065901
Author: Saeid Rezaei Jouzdani, MD
Category: Lymphoma: Mature B-cell and Plasma cell Neoplasms
Published Date: 10/14/2025

Psmal cells in Multi nuclear bizarre cells.

Advertisement intended for health care professionals