Advertisement intended for health care professionals

l

Schistocytes

Schistocytes
#00065971
Author: Sumitha Baskaran; Madhura Jogwar; Metropolis healthcare limited
Category: Laboratory Hematology > Basic cell morphology >  Red Blood Cell shape abnormalities > Schistocytes
Published Date: 11/20/2025

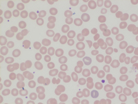
Peripheral blood smear of a 73-year-old male admitted with dengue fever and severe thrombocytopenia (platelet count – 20 × 10³/µL), who subsequently developed an extradural hemorrhage. The smear shows marked thrombocytopenia with schistocytes of various shapes — including helmet cells, triangular cells, and irregularly contracted forms — indicative of microangiopathic hemolysis in dengue-associated coagulopathy. (Wright–Giemsa stain, 1000× oil immersion). Recognition of schistocytes is therefore essential in evaluating the severity of dengue-associated hematologic manifestations and guiding transfusion and monitoring decisions.

Advertisement intended for health care professionals