Advertisement intended for health care professionals

l

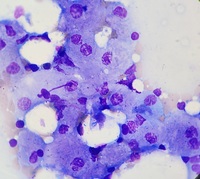
Gaucher Cell

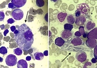
Gaucher Cell
#00066001
Author: Najmaldin Saki Ph.D; Bita Bandar M.Sc; Mohammad Amin Vahid M.Sc
Category: Laboratory Hematology > Basic cell morphology > Morphologic variants of white blood cells > Histiocyte/macrophage – storage disease > Gaucher
Published Date: 11/20/2025

This is the bone marrow biopsy of a 32 year old woman diagnosed with Gaucher disease. Gaucher disease is a rare inherited metabolic disorder caused by deficiency of the enzyme glucocerebrosidase. This leads to accumulation of a fatty substance (glucocerebroside) within lysosomes, especially in the spleen, liver, and bone marrow.
The characteristic Gaucher cells are large macrophages filled with lipid, giving them a “wrinkled tissue paper” cytoplasm. These cells accumulate in bone marrow and organs, disrupting normal function and leading to disease symptoms.

Advertisement intended for health care professionals