Advertisement intended for health care professionals

l

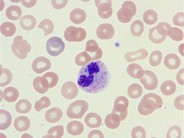
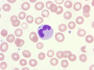
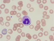
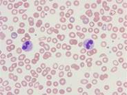
Marked Toxic Changes in Neutrophils

Marked Toxic Changes in Neutrophils
#00066007
Author: Sumitha Baskaran; Madhura Jogwar; Metropolis healthcare limited
Category: Laboratory Hematology > Basic cell morphology > Morphologic variants of white blood cells > Toxic granulation/Dohle bodies  
Published Date: 11/25/2025

Peripheral blood smear from a 31-year-old female post–renal transplant patient presenting with sepsis. Neutrophils show marked toxic granulation and cytoplasmic vacuolation, indicative of severe inflammatory response.(Wright–Giemsa stain, 1000× oil immersion) These toxic changes correlate with systemic infection in an immunosuppressed post-transplant patient.

Advertisement intended for health care professionals