Advertisement intended for health care professionals

l

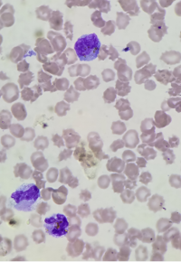
Golden-yellow bilirubin crystals within the cytoplasm of neutrophils & monocytes

Golden-yellow bilirubin crystals within the cytoplasm of neutrophils & monocytes
#00066119
Author: Harshitha Kurapati; Deepti Mutreja Tilak
Category: Laboratory Hematology > Basic cell morphology > Morphologic variants of white blood cells > Phagocytosed material
Published Date: 01/22/2026

Golden-yellow bilirubin crystals within the cytoplasm of neutrophils & monocytes, highlighting an unusual intracellular deposition of bilirubin.


Advertisement intended for health care professionals