Advertisement intended for health care professionals

Acute myeloid leukemia with the t(8;21)(q22;22)

Author:  Elizabeth L. Courville, MD; Gordana Raca, Ph D, 09/17/2015
Category: Myeloid Neoplasms and acute leukemia (WHO 2016) > Acute Myeloid Leukemia > Acute Myeloid Leukemia with recurrent genetic abnormalities > AML with t(8;21)(q22;q22); RUNX1-RUNX1T1
Published Date: 02/25/2016

This type of AML usually presents with non-specific signs.  The general diagnostic criterium for AML is   at least 20% blasts in the bone marrow. However, t(8;21) AML shows morphological signs of neutrophil maturation. In rare cases, there may be  bone marrow blast counts below 20%; according to the WHO classification, such cases should also be classified and treated as AML.

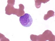
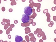
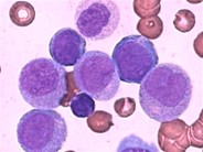
Marrow aspirate

The blasts are relatively large with basophilic cytoplasm, high nuclear:cytoplasm ratio, fine chromatin, prominent nucleoli, often numerous azurophilic granules and a perinuclear clearing. Auer rods are common and may be detected in blasts or immature neutrophils. The cells show some signs of maturation and may also have some signs of dysplasia.

AML-with-t8-21--8
#00002597
 
AML-with-t8-21--5
#00002594
 
AML-with-t821--4
#00001532
 
AML-with-t8-21--9
#00002598
 
Flow Cytometry

Immunophenotypic analysis of the blast population typically shows expression of CD13, CD19, CD33, CD34, CD117, and HLA-DR .

Acute-myeloid-leukemia-with-the-t821q2222-Flow-cytometry
#00060043
 
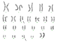
Cytogenetics

Acute myeloid leukemia with the t(8;21)(q22;22).  

The translocation fuses the AML1 gene (also called RUNX1) on chromosome 21 with the ETO gene (also referred to as the RUNX1T1 gene encoding the CBFA2T1 protein) on chromosome 8.

Acute-myeloid-leukemia-with-the-t821q2222
#00060042
 

Advertisement intended for health care professionals