Advertisement intended for health care professionals

Systemic EBV-positive T-cell Lymphoma

Author:  Hany Deirawan, MD; Feras Zaiem, MD; Muhammad Saad Hamid, MD; Baraa Alosh, MD; Steven Buck; Süreyya Savaşan, MD; Ali M. Gabali, MD, PhD, 03/20/2019
Category: Lymphoma: Mature T and NK cell lymphoproliferations > EBV+ T- and NK-cell lymphoproliferations > Systemic EBV+ T-cell Lymphoma
Published Date: 08/21/2019

A 10-year-old Hispanic girl was brought to the hospital by her parents after she had become increasingly lethargic and high-grade fevers for one month. A physical examination demonstrated bilateral cervical and submandibular lymphadenopathy along with splenomegaly measuring 3 cm below the costal margin. Initial chest imaging was negative for any intrathoracic mass and laboratory work up revealed pancytopenia with moderate absolute neutropenia and severe thrombocytopenia (platelets of 104 k/cumm).

Further testing indicated elevated IgG and IgA levels at 2,020mg/dL and 556mg/dL, respectively. Viral serology testing was significant for high-positive Epstein-Barr Virus (EBV) titers, including viral capsid antigen (VCA) IgG >750, VCA IgM >160, Epstein-Barr nuclear antigen (EBNA) at 598, and an EBV early antigen (EA) >150. EBV PCR was 9330 copies/mL. Hepatitis serology was negative. This was thought to be an EBV reactivation and was closely monitored over the following weeks.

The patient returned with worsening lymphadenopathy, recurring fevers and night sweats in a month. Repeat blood work showed persistent pancytopenia. She underwent a right cervical lymph node (LN) biopsy that demonstrated diffuse presence of EBV-encoded RNA (EBER) in monotonous CD3+, CD5+, CD7+ small infiltrating lymphocytes with a down regulated of CD5 expression by phenotyping along with a clonal T-cell receptor (TCR) rearrangement consistent with systemic EBV-positive T cell lymphoma of childhood, which was used to be called as “T cell lymphoproliferative disorder of childhood”.

The PET scan revealed a conglomerate of enlarged FDG avid LNs involving bilateral neck and axilla, mediastinum, para-aortic region, pelvis, bilateral inguinal regions, and a FDG-avid spleen.  Bone marrow biopsy showed no evidence of a malignant clonal population. She was treated on CHOP induction chemotherapy with plan for curative allogenic transplantation; however, after three cycles, physical examination was still significant for persistently palpable left-sided cervical LN and splenomegaly. A LN biopsy was consistent with residual disease while cytogenetics indicated a gain of chromosome 2 in 3 mitotic figures out of 10 as clonal evolution at the time. After a single cycle of salvage chemotherapy with high-dose ICE chemotherapy, repeat PET scan showed improvement. She was then taken to hematopoietic stem cell transplantation.

 

Learning points

  1. The new 2017 WHO recognizes that these entities are EBV-driven T-cell lymphoma entities and not lymphoproliferative disorders as noted in the previous classification. These may occur in children or adults.
  2. These entities arise in the context of Chronic active EBV infection (CAEBV) and may progress to aggressive EBV-associated T-cell lymphoma or culminate in hemophagocytosis.
  3. Cases limited to cutaneous location in CAEBV include the Severe mosquito bite allergy (sMBA) and Hydro-vacciniforme-like lymphoma (HVLL)
  4. Why only some cases of CAEBV cases evidence such fulminant progression is unclear but heightened awareness of the wide constellation of presenting symptoms is required to entertain a diagnosis of CAEBV.

 

 

 

References

  1. Hong M, Ko YH, Yoo KH, et al: EBV-Positive T/NK-Cell lymphoproliferative disease of childhood. Korean J Pathol 2013; 47: pp. 137-147.
  2. Kansal R, Sait SN, Block AW, Ward PM, Kelly FL, Cheney RT, Czuczman M, Brecher ML, Barcos M. Extra copies of chromosome 2 are a recurring aberration in ALK-negative lymphomas with anaplastic morphology. Mod Pathol. 2005 Feb;18(2):235-43.
  3. Swerdlow SH, Campo E, Harris NL, Jaffe ES, Pileri SA, Stein H, Thiele J (Eds). WHO Classification of Tumors of Hematopoietic and Lymphoid Tissue (Revised 4th edition). Iarc: Lyon 2017
Figure 1: H&E in Systemic EBV-positive T-cell Lymphoma

Histologic sections show an enlarged lymph node with effaced architecture and expanded paracortical area by predominantly small-medium sized lymphocytes with irregular nuclear contours, variable chromatin and occasional prominent nucleoli. The atypical lymphocytes are admixed with numerous histiocytes, few plasma cells and immunoblasts. Also, obliterated subcapsular sinuses with extension into the adjacent extranodal tissue are evident.  Occasional residual regressive primary/secondary follicles and open sinuses are noted. No cells with Reed-Stenberg/Hodgkin cell morphology identified. Rare mitotic and apoptotic bodies are seen. No large area of tumor cell necrosis identified.  Focal emperipolesis of lymphocytes is noted within the histiocytes.

Figure-1-Cervical-lymph-nodes-shows-A-effaced-architecture-and-expanded-paracortical-area-B-infiltration-of-medium-sized-lymphoid-cells-admixed-with-numerous-histiocytes
#00062291
 
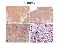
Figure 2: CD2, CD3, CD7, & CD5 in Systemic EBV-positive T-cell Lymphoma

The atypical lymphocytes are positive for CD2, CD3 and CD7 (A-C respectively) with fewer cells positive for CD5 (D). The majority of lymphocytes are positive for CD8 with small subset positive for CD4.  Per WHO, most cases occur in the setting of acute primary EBV infection are CD8 positive.

Figure-2-Immunohistochemistry-studies-showing-the-atypical-lymphocytes-are-positive-for-A-CD2-B-CD3-C-CD7-D-with-fewer-cells-positive-for-CD5
#00062292
 
Figure 3: PD-1 & CD20 in Systemic EBV-positive T-cell Lymphoma

PD-1 (middle panel image) highlights a subset of T-cells. In-situ hybridization probe for Epstein-Barr encoded RNA (EBER) is positive in the majority of lymphocytes. CD20 (left panel image)  highlights B-cells and rare B-immunoblasts. No large cells with double expression of CD15 and CD30 seen. CD23 highlights residual dendritic meshworks. Finally, the neoplastic lymphocytes are negative for EMA or ALK reactivity further confirming the diagnosis.  The histiocytes are positive for CD163 and negative for S100 and CD1a.

Figure-3-CD20-IHC-show-A-B-cells-in-germinal-center-and-few-scattered-cells-in-the-paracortex-B-Tcells-are-positive-PD1-C-Tlymphocytes-are-positive-for-Insitu-hybridization-for-EBER
#00062293
 
Figure 4: Flow cytometry

Immunophenotyping analysis of the peripheral blood showed the presence of predominantly mature CD45bright T lymphocytes (94%) which contained mature T and B cells and only minor NK subsets. A minority distinct large cell component cell (8%) was present in this CD45bright gate. The T cell population displayed a significantly reversed CD4:CD8 ratio of 0.08:1.

Figure-4-Flow-cytometry-from-the-peripheral-blood-showing-the-T-cell-population-displayed-a-significantly-reversed-CD4CD8-ratio
#00062294
 
Figure 5: Molecular Studies

A clonal T-cell receptor gene rearrangement was detected consistent with a clonal T cell population, which defines this entity.  Monoclonal expansion of TCR Ɣ gene by conventional PCR analysis or southern blot hybridization can be affected by the low sensitivity due to genetic polymorphism for various segments and can yield false negative results. Multiplex PCR with multiple primers pairs can provide data in this circumstance. Most lymphocytes were positive for Epstein-Barr encoded RNA (EBER) performed on the tissue sections by In-situ hybridization.  Acquired isolated trisomy 2 abnormality although rare can present in ALK-negative lymphoma with anaplastic morphology.

No Image is attached in this Figure.

Advertisement intended for health care professionals