Advertisement intended for health care professionals

AML with recurrent t(3;3)(q21;q26.2) translocation

Author:  Melissa Tjota; Girish Venkataraman, MD; Shiraz Fidai; Angela Lager, 06/11/2019
Category: Myeloid Neoplasms and acute leukemia (WHO 2016) > Acute Myeloid Leukemia > Acute Myeloid Leukemia with recurrent genetic abnormalities > AML with inv(3)(q21q26.2) or t(3;3)(q21;q26.2); GATA2, MECOM
Published Date: 06/11/2019

The patient is a 69 year old male who was diagnosed with acute myeloid leukemia after a two month history of fatigue, night sweats, and chills. The initial bone marrow biopsy demonstrated atypical myeloblasts (~43%, CD34+, CD117+, CD33+, partial CD7+) in the marrow and 19% circulating blasts in the peripheral blood. Cytogenetics identified a t(3;3)(q21;q26.2) and a loss of chromosome 7. The patient underwent induction chemotherapy and matched unrelated donor stem cell transplant.

Approximately two years after transplant, the patient present to clinic with leukopenia, neutropenia, and atypical blasts present in the peripheral blood (14%) with recurrence of disease identified in the marrow. This bone marrow biopsy is depicted.

The findings are characteristic of an acute myeloid leukemia with t(3;3)(q21;q26.2) translocation.

Learning points:

1. These AML arise as a result of respositioning of a distal GATA2 enhancer resulting in activation of MECOM while simultaneously conferring GATA2 haploinsufficiency.

2. Increased numbers of atypical non-lobated dysplastic megakaryocytes are typical findings as noted here.

3. At this time, cases with <20% blasts are not considered AML unlike cases with t(15;17), inv(16) and t(8;21). Although, the prognosis of cases with <20% or >20% blasts are similar.

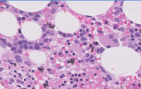
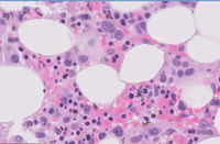
Bone marrow H&E

The bone marrow core biopsies are 0.5 cm and 1.9 cm. The subcortical area is hypocellular; however, the overall cellularity is 40%. There is a proliferation of atypical megakaryocytes that are small and mono-lobated/bi-lobated in a fibrotic background. There are focal clusters of cells that are suspicious for blasts demonstrating convoluted nuclear membranes and small but distinct nucleoli. Immunohistochemical stain with CD34 highlights a population of blasts that vary in size from small to medium and account for ~20% of the marrow cellularity. Background granulopoiesis and erythropoiesis are progressive. There is background stromal damage and edema as well as multifocal lipogranulomas.  A reticulin stain is performed and shows focally mild to moderately increased fibrosis (MF 1-2/3).

AML-with-recurrent-t33
#00062372
 
AML-with-recurrent-t33
#00062373
 
Bone marrow aspirate smears

The aspirate smears demonstrates blasts that show similar morphologic findings as the peripheral blood smear and the bone marrow core biopsy. There are numerous megakaryocytes that are small in size and are mono-lobated/bi-lobated. Erythroid precursors demonstrate dysplastic features including irregular nuclear membranes, nuclear blebbing, and rare bi-nucleate forms. 

AML-with-recurrent-t33
#00062374
 
Flow plots of blast phenotype

The blasts account for ~20% of live events (CD45 intermediate, SSC intermediate). The blasts are positive for CD34, CD117, CD33, CD13, CD38, HLA-DR, and aberrant CD7 (partial), a frequent finding in this AML. The blasts are negative for CD16, CD19 and CD65. These findings are immunophenotypically consistent with the patient's previous diagnosis.

AML-with-recurrent-t33
#00062375
 
AML-with-recurrent-t33
#00062376
 
AML-with-recurrent-t33
#00062378
 
AML-with-recurrent-t33
#00062377
 
Karyotype and FISH studies

At the time of diagnosis cytogenetics was positive for a t(3;3)(q21;q26.2) and a loss of chromosome 7. At the time of relapse, three years after diagnosis cytogenetics was positive for a t(3;3)(q21;q26.2) and a loss of chromosome 7 as well as a t(11;21)(p11.2;q22.1). The t(3;3) is a recurring abnormality in AML, and is associated with abnormalities of megakaryocytes in the bone marrow. The loss of chromosome 7 is a recurring abnormality in myeloid neoplasms and is commonly observed in associated with t(3;3). The significance of the t(11;21) observed at the time of relapse is uncertain, but represents clonal evolution.

Fluorescence in situ hybridization (FISH) analysis using a tri-color EVI1 (MECOM) break-apart probe demonstrates one tri-color (red/green/aqua) fusion signal and one green/aqua and separate red signal, indicative of a t(3;3).  

AML-with-recurrent-t33
#00062370
 
AML-with-recurrent-t33
#00062371
 

Advertisement intended for health care professionals