Advertisement intended for health care professionals

CML-Accelerated Phase

Author:  Reva Channah Goldberg; Girish Venkataraman, MD, MBBS; Joseph Cho; Hongtao Liu, 08/01/2019
Category: Myeloid Neoplasms and acute leukemia (WHO 2016) > Myeloproliferative Neoplasms (MPN) > Chronic Myelogenous Leukemia (CML), BCR-ABL1+ > Accelerated phase
Published Date: 08/01/2019

The patient is a 58-year-old female with a history of HTN, CVA, and aortic dissection repair who presented with severe thrombocytosis requiring platelet pheresis x2 and concern for MDS/MPN vs primary myelofibrosis. The patient's initial platelet count was 1.8 million/uL before the apheresis  although complete CBC details were not available. The smear shown below is after the pheresis.

Despite the unusual morphology with marked megakaryocytic proliferation and significant thrombocytosis, the underlying diagnosis is Chronic Myeloid Leukemia in accelerated phase (CML-AP). NGS did not reveal any pathogenic mutations (no JAK2 or CALR mutations) and BCR-ABL RT-PCR was positive for P210 transcripts.

The patient was started on Dasatinib with plans to go ahead with allogeneic stem cell transplantation if there was inadequate response due to concern for accelerated phase at presentation.

Learning Points:

  1. CML can present in accelerated phase (AP) at the time of diagnosis and is defined by a list of hematological, cytogenetic, or clinical (provisional) criteria which includes persistent thrombocytosis (>1000 x10^9/L) unresponsive to therapy.
  2. The presence of BCR-ABL1 fusion gene must be ruled out in a myeloproliferative neoplasm with significant megakaryocytic proliferation before a diagnosis of primary myelofibrosis, essential thrombocythemia or myeloproliferative neoplasm, unclassifiable is made.  
  3. CML-AP bone marrow specimens are often hypercellular, with dysplastic myeloid cells, clusters of small megakaryocytes, and associated with reticulin or collagen fibrosis.
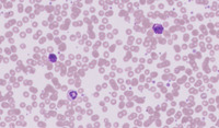
Figure 1-Blood in CML-AP

Peripheral blood smear on the left side showing circulating basophils and unremarkable neutrophils.  Platelets are variable in size in the background.  The smear on the right side demonstrates 2 basophils on the top with unremarkable neutrophils on the bottom.  Occasional teardrop cells is noted but red cells are otherwise morphologically unremarkable.  There was no evidence of circulating left shifted myeloid cells or blasts at this time.  However, the smear was performed after pheresis and hence platelet counts appear normal on smear

CMLAccelerated-PhaseBlood
#00062486
 
CMLAccelerated-PhaseBlood
#00062487
 
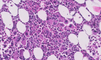
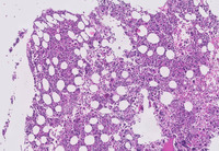
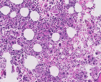
Figure 2: Images of bone marrow core biopsy in CML–accelerated phase

Low power image demonstrating markedly hypercellular marrow with significantly increased numbers of megakaryocytes visualized at higher power.  The image at the bottom depicts numerous megakaryocytes that comprise an admixture of dwarf forms with hypolobated nuclei (typical in CML) as well as forms comprising micromegakaryocytes with dysplastic features.  The background comprised and equal admixture of maturing myeloid and erythroid precursors without the typical myelocyte bulge seen in chronic myeloid leukemia, chronic phase.

CMLAccelerated-PhaseHE
#00062491
 
CMLAccelerated-PhaseHE
#00062492
 
CMLAccelerated-PhaseHE
#00062493
 
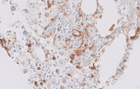
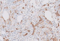
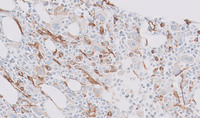
Figure 3: CD34 immunostain in CML–accelerated phase

Multiple images demonstrating several areas with increased numbers of CD34 positive blastic cells.  The cells reached up to 10% in some areas.  Occasional megakaryocytes demonstrate weak abnormal staining for CD34 noted on the image in the right.

CMLAccelerated-PhaseCD34
#00062488
 
CMLAccelerated-PhaseCD34
#00062489
 
CMLAccelerated-PhaseCD34
#00062490
 
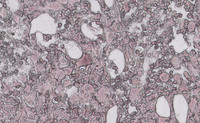
Figure 4-Reticulin

The image shows very mild and focal fibrosis. 

CMLAccelerated-PhaseReticulin
#00062494
 

Advertisement intended for health care professionals