Advertisement intended for health care professionals

Aplastic Anemia and Paroxysmal Nocturnal Hemoglobinuria (PNH) clone

Author:  Katherine Calvo, MD, PhD, 09/20/2015
Category: Underproduction Anemias > Acquired aplastic anemia > PNH (clonal)
Published Date: 01/26/2016
 23 year old male presented with severe pancytopenia (WBC 2.1 K/uL, Hb 4.6 g/dL, Plt 10 K/uL , ANC 0.39 K/uL, ARC 16.9 K/uL).
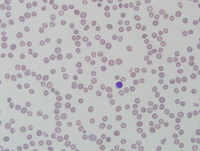
Peripheral Blood

The peripheral blood shows pancytopenia.

Aplastic-Anemia-and-Paroxysmal-Nocturnal-Hemoglobinuria-PB
#00060051
 
Aplastic-Anemia-and-Paroxysmal-Nocturnal-Hemoglobinuria-PB-higher-power
#00060052
 
Bone Marrow aspirate

Bone marrow aspirate showed paucicellular marrow particles. 

Aplastic-Anemia-and-Paroxysmal-Nocturnal-HemoglobinuriaBone-marrow-Aspirate
#00060055
 
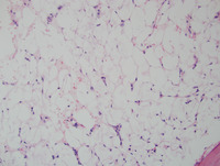
Bone Marrow Biopsy

Bone marrow biopsy showed less than 10% cellularity with severe trilineage hypoplasia consistent with aplastic anemia. 

Aplastic-Anemia-and-Paroxysmal-Nocturnal-Hemoglobinuria-Biopsy
#00060053
 
Identification of large PNH clone by flow cytometry.

Identification of large PNH clone by flow cytometry.

Granulocytes (red) in peripheral blood derived from PNH clone are

negative for GPI-linked proteins and FLAER.

Aplastic-Anemia-and-Paroxysmal-Nocturnal-Hemoglobinuria-Flowcytometry
#00060054
 

Advertisement intended for health care professionals