Advertisement intended for health care professionals

Double Hit Lymphoma

Author:  Reva Channah Goldberg; Girish Venkataraman, MD, MBBS; James Godfrey; Joseph Cho; Angela Lager, 08/06/2019
Category: Lymphoma: Mature B-cell and Plasma cell Neoplasms > Large B-cell lymphomas (not Richter transformation) > High grade B-cell lymphoma with MYC, BCL2 and/or BCL6 translocations*
Published Date: 08/06/2019

This is a 58-year-old man with stage IE high-grade B-cell lymphoma. The patient had a large left upper quadrant mesenteric mass measuring 9.3 cm with associated adenopathy. His LDH was elevated at 450 with neutrophilic leukocytosis at 15,000/mcL.

The mass was resected and the patient was started on dose adjusted EPOCH-R. There was evidence of MYC translocation with double expression of MYC and BCL-2. FISH studies were not performed for BCL2 and BCL6 initially, and further testing revealed underlying BCL2 translocation allowing designation as high-grade B-cell lymphoma with MYC and BCL2 translocation, recognized in the WHO 2016 as one of the most aggressive forms of high-grade B-cell lymphoma (so called "double-hit lymphoma").

Learning Points:

  1. Blastoid cytomorphology in CD10+ mature B-cell lymphoma coupled with expression of MYC (>40%) and BCL-2 (>50%) should prompt testing for translocations involving MYC, BCL2 and BCL6 to identify cases of double/triple hit lymphoma.
  2. Double/triple-hit lymphoma may exhibit variable cytomorphology including centroblastic/DLBCL, nos, Burkitt–like, as well as blastoid cytomorphology. Most double/triple-hit lymphomas are of  germinal center B-cell origin (>90%).
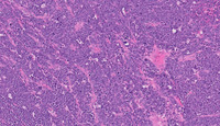
Figure 1: Low power H&E Morphology of Double Hit Lymphoma

Low power image (on the left) demonstrates circumscribed infiltrate of cells within the lamina propria and extending through the full thickness beyond the muscularis propria in some areas. At higher power (pictured on the right), the infiltrate is diffuse.

Double-Hit-LymphomaHE-Low-Power
#00062554
 
Double-Hit-LymphomaHE-Low-Power
#00062555
 
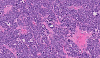
Figure 2: Intermediate Power H&E Morphology of Double Hit Lymphoma

The lymphoma cells are infiltrating through the muscularis propria with starry sky pattern noted on the second image (on the right). The latter pattern is reflective of all high grade proliferative processes and may be seen in Burkitt lymphoma and lymphoblastic processes, in addition.

Double-Hit-LymphomaHE-Intermediate-Power
#00062558
 
Double-Hit-LymphomaHE-Intermediate-Power
#00062556
 
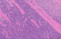
Figure 3: High Power H&E Image of Double Hit Lymphoma

At high-power, there is starry sky appearance with medium sized blastoid lymphoma cells with dispersed nuclear chromatin and scattered mitoses.

Double-Hit-LymphomaHE-High-Power
#00062557
 
Figure 4: CD20 and CD3 in Double Hit Lymphoma

The lymphoma cells are positive for CD20 (left side image) with only scattered T-cells on CD3 (right side image).

Double-Hit-LymphomaCD20
#00062552
 
Double-Hit-LymphomaCD3
#00062550
 
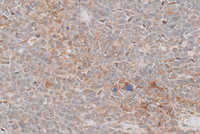
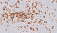
Figure 5: CD10 and MYC Immunostain in Double Hit Lymphoma

The lymphoma cells are strongly positive for CD10 (membranous staining, left side image) with diffuse positivity for MYC by immunohistochemistry (90%; >40% considered positive, right side image).

Double-Hit-LymphomaCD10
#00062551
 
Double-Hit-LymphomaCMyc
#00062553
 
Figure 6: BCL-2 and Ki-67 Immunostain in Double Hit Lymphoma

BCL-2 is strongly positive in the lymphoma cells (100%; >50% consider positive, left side image). Likewise, Ki-67 highlights numerous proliferative lymphoma cells (90%, right side image).

Double-Hit-LymphomaBCL2
#00062549
 
Double-Hit-LymphomaKi67
#00062559
 
Figure 7: PD–L1 Immunostain in Double Hit Lymphoma

The lymphoma cells are negative for PD–L1. Occasional internal control histiocytes demonstrate moderate membranous staining for PD–L1. 

Double-Hit-LymphomaPDL1
#00062560
 
Figure 8: FISH for MYC and BCL2 in Double Hit Lymphoma

The separated colors in each of the probes indicate breaks in the MYC and BCL2 genes consistent with rearrangements in these genes.

Double-Hit-LymphomaFISH
#00062548
 

Advertisement intended for health care professionals