Advertisement intended for health care professionals

Anaplastic Large Cell Lymphoma ALK+

Author:  Mir Alikhan; Reva Goldberg; Amandeep Kaur, 08/07/2019
Category: Lymphoma: Mature T and NK cell lymphoproliferations > Mature T-cell Lymphomas > Anaplastic Large Cell Lymphoma, ALK positive
Published Date: 08/07/2019

The patient is a 42-year-old male who presented with fever with chills, night sweats, cough, and weight loss. On examination, he had cervical lymphadenopathy. Evaluation of the complete blood count showed mild anemia. Excisional biopsy of the lymph node was performed. The case below depicts a typical anaplastic large cell lymphoma, ALK+.

Learning points:

  1.  ALCL is a T-cell lymphoma characterized by morphologic pleomorphism with large cells and positivity for CD30
  2. Cases are subdivided into those that are immunohistochemically positive for ALK and those that are negative
  3. There is loss of several pan-T cell antigens, often CD3. Cytotoxic markers such as TIA1 and granzyme are usually positive
  4. t(2;5)/NPM1-ALK is the most common translocation seen in ALCL, where ALK staining of the neoplastic cells is both cytoplasmic and nuclear.
  5. In cases with variant (non-NPM1) translocations, ALK staining is usually cytoplasmic and rarely membranous.
  6. ALK positivity suggests an overall favorable prognosis of ALCL as compared to ALK-negative cases.
Figure 1: Lymph Node H&E in Anaplastic Large Cell Lymphoma ALK+

On low power, the architecture of the lymph node is markedly distorted by an atypical lymphohistiocytic infiltrate expanding the interfollicular areas. On high power, there are sheets of large lymphoid cells in these area with irregular nuclei (including horseshoe/ kidney-shaped nuclei) and an eosinophilic region near the nucleus (black arrow). These cells are also referred to as "hallmark cells" because they are present in all morphologic variants.

Anaplastic-Large-Cell-Lymphoma-ALK-HE
#00062562
 
Figure 2: Bone Marrow H&E in Anaplastic Large Cell Lymphoma

On low power, the bone marrow is completely replaced by the atypical cells in a diffuse pattern. On high power, large cells are identified with morphology similar to cells seen on the lymph node biopsy.

Anaplastic-Large-Cell-Lymphoma-ALK-HE
#00062563
 
Figure 3: Bone Marrow Aspirate in Anaplastic Large Cell Lymphoma

A neoplastic "Hallmark cell" with abundant cytoplasm and large nucleus is seen on bone marrow aspiration smear.

Anaplastic-Large-Cell-Lymphoma-ALK-Aspirate
#00062561
 
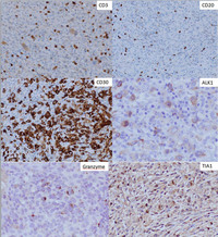
Figure 4: Immunohistochemistry in Anaplastic Large Cell Lymphoma

Large neoplastic cells are positive for CD30, ALK1 (diffuse, cytoplasmic), CD3 (weak/negative), TIA-1 and granzyme. They were negative for CD20. Cytoplasmic staining of ALK1 is characteristic in cases with variant translocations i.e. fusion of ALK with partners other than NPM1 (like TRAF1 in our case).

Anaplastic-Large-Cell-Lymphoma-ALK-IHC
#00062564
 
Figure 5: Next Generation Sequencing (NGS) Fusion Analysis in Anaplastic Large Cell Lymphoma

Lymph node was submitted for RNA-based next generation sequencing fusion analysis. This showed multiple sequencing reads that aligned exon 20 of the ALK gene (black arrow) to exon 7 of the TRAF1 gene (red arrow). This is a rare translocation that is thought to confer a worse prognosis.

Anaplastic-Large-Cell-Lymphoma-ALK-NGS
#00062565
 

Advertisement intended for health care professionals