Advertisement intended for health care professionals

Germinotropic Lymphoproliferative Disorder

Author:  Arash Ronaghy; Huan-You Wang; John A. Thorson; Jeffrey Medeiros; Xinmin Zhang; Yi Xie; Silvat Sheikh-Fayyaz, 08/09/2019
Category: Lymphoma: Mature B-cell and Plasma cell Neoplasms > Virus-associated lymphoproliferations > HHV8-associated lymphoproliferative disorders > HHV8+ germinotropic lymphoproliferative disorder
Published Date: 08/09/2019

The patient is a 73-year-old man with a 4.1 cm left para-aortic mass who was referred for laparoscopic surgical resection. He had a normal complete blood count with normal differential with negative human immunodeficiency virus (HIV).  The mass was excised laparoscopically. He remained symptomatic during a 16 months follow-up.

The findings below are characteristic of HHV8+/EBV+ germinotropic lymphoproliferative disorder (GLD).

Learning points:

  1. These patients are usually asymptomatic and HIV-negative (in most instances) in contrast to other HHV8-associated LPDs (KSHV-MCD and PEL).
  2. These arise from a germinal center B-cell and are coinfected with EBV and HHV8 LANA1 with a latency phase 1 of EBV.
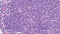
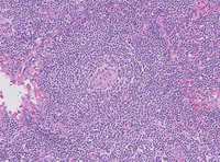
Figure 1: H&E in Germinotropic Lymphoproliferative Disorder

Low power images showing scattered variably expanded follicles with mottled nodular germinal centers while other areas (image on top right) show regressed germinal center as may be seen in hyaline vascular Castleman disease.

High power images of expanded follicles showing replacement by large plasmablastic cells with prominent nucleoli within the germinal centers.

Germinotropic-Lymphoproliferative-DisorderHE-Low-Power
#00062574
 
Germinotropic-Lymphoproliferative-DisorderHE
#00062577
 
Germinotropic-Lymphoproliferative-DisorderHE-Intermediate-Power
#00062575
 
Germinotropic-Lymphoproliferative-DisorderHE-High-Power
#00062576
 
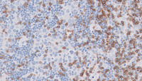
Figure 2: CD20 & CD3 in Germinotropic Lymphoproliferative Disorder

These large cells are negative for CD20 while the surrounding mantle zone B-cells are positive for CD20. CD3 highlights scattered T-cells but the atypical large cells are negative.

Germinotropic-Lymphoproliferative-DisorderCD20
#00062571
 
Germinotropic-Lymphoproliferative-DisorderCD3
#00062570
 
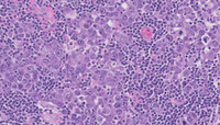
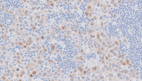
Figure 3: CD79 & MUM1 in Germinotropic Lymphoproliferative Disorder

CD79a (B- and plasma cell marker) is weakly positive in a subset of the large neoplastic cells as seen on the right side of the field. Surrounding small B-cells are positive for CD79a however.

The large plasmablastic cells are positive for MUM1, another plasmacytic marker. These cells may show monotypic kappa or lambda unlike KSHV-MCD which almost always shows only lambda restriction with IgM expression.

Germinotropic-Lymphoproliferative-DisorderCD79
#00062572
 
Germinotropic-Lymphoproliferative-DisorderMUM1
#00062579
 
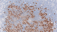
Figure 4: EBER & KSHV in Germinotropic Lymphoproliferative Disorder

The plasmablastic cells are strongly positive for EBV (EBER; image on the left) and KSHV/HHV8/LANA1 (image on the right). In addition, there are scattered small lymphoid cells in the interfollicular regions (not depicted) indicative of EBV reactivation.

Germinotropic-Lymphoproliferative-DisorderEBER
#00062573
 
Germinotropic-Lymphoproliferative-DisorderKSHV
#00062578
 

Advertisement intended for health care professionals