Advertisement intended for health care professionals

Follicular Lymphoma Grade 3a, CD10-negative

Author:  Reva Goldberg; Girish Venkataraman, MD, MBBS; Megan Parilla; Peter Riedell, 08/09/2019
Category: Lymphoma: Mature B-cell and Plasma cell Neoplasms > Low-grade B-cell lymphoma > Follicular Lymphoma
Published Date: 08/09/2019

The patient has a history of DLBCL arising from follicular lymphoma undergoing biopsy of enlarged lymph node after therapy. The biopsy herein represents relapsed disease with isolated follicular lymphoma component without the DLBCL component.

Learning Points:

  1. Distinction of centroblasts from follicular dendritic cells and histiocytes is critical in grading follicular lymphoma.
  2. The current WHO 2016 divides follicular lymphoma into grade 1-2 (0-15 centroblasts/HPF) and grade 3 (>15 centroblasts/HPF) with grade 3B showing solid sheets of centroblasts.
  3. CD10 can be negative in follicular lymphoma and the LMO2, BCL6 and HGAL stains support a germinal center derivation in such cases.
Figure 1: CT Scan in Follicular Lymphoma Grade 3a

CT scan shows a enlarged node measuring nearly 2 cm on size. This was biopsied.

Follicular-Lymphoma-Grade-3aCT-Scan
#00062580
 
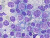
Figure 2: Touch Preparation in Follicular Lymphoma Grade 3a

Variable numbers of small and large cleaved cells are noted in this touch preparation.

Follicular-Lymphoma-Grade-3aTouch-Prep
#00062593
 
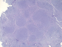
Figure 3: H&E in Follicular Lymphoma Grade 3a

Lower and intermediate-power view (three images) show nodular architecture replacing the entire node with monotonous neoplastic follicular structures.

The high power image within the neoplastic follicular structures shows increased numbers of centroblasts admixed with scattered centrocytes allowing designation as grade 3a. Likewise the absence of sheets of centroblasts allows exclusion of grade 3b disease.

Also, note follicular dendritic cells (black arrows), centrocytes (white arrows), and centroblasts (blue arrows). Follicular dendritic cells frequently have doublet nuclei with clear chromatin and small nucleoli while centroblasts have convoluted nuclear contours and multiple membrane-bound nucleoli with clumped but dispersed chromatin. Centrocytes are smaller cells with elongated twisted nuclei and clumped chromatin.

Follicular-Lymphoma-Grade-3aHE
#00062585
 
Follicular-Lymphoma-Grade-3aHE
#00062586
 
Follicular-Lymphoma-Grade-3aHE
#00062587
 
Follicular-Lymphoma-Grade-3aHE
#00062581
 
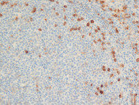
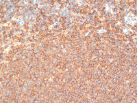
Figure 4: CD20 & CD10 in Follicular Lymphoma Grade 3a

Neoplastic follicles are positive for CD20 but negative for CD10 (in this case). Although most follicular lymphoma express CD10, this case is negative for CD10 in the neoplastic B-cells within the follicles. CD10 however highlights scattered lymphoid cells consistent with follicular helper T-cells (TFH) which are known to express CD10. Normally TFH cells reside at the periphery of secondary germinal centers. TFH cells also express CD4 and PD1 and are the cell of origin of angioimmunoblastic T-cell lymphoma in which the T-cells coexpress CD3 and CD10 frequently.

Follicular-Lymphoma-Grade-3aCD20
#00062584
 
Follicular-Lymphoma-Grade-3aCD10
#00062583
 
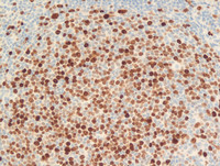
Figure 5: LMO2 & HGAL in Follicular Lymphoma Grade 3a

The neoplastic follicular B-cells are positive for LMO2 (top two images) with nuclear staining in a significant proportion of cells while HGAL is uniformly positive in these follicules supporting germinal center derivation despite negative CD10.

Follicular-Lymphoma-Grade-3aLMO2
#00062591
 
Follicular-Lymphoma-Grade-3aLMO2
#00062592
 
Follicular-Lymphoma-Grade-3aHGAL
#00062588
 
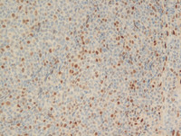
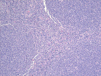
Figure 6: BCL2 & Ki67 in Follicular Lymphoma Grade 3a

The neoplastic follicles are positive for BCL2 with moderately high proliferation on Ki-67 consistent with grade 3a disease. About 50% of high grade FL may shows loss of BCL2 which is otherwise present in nearly 85-90% of grade 1-2 cases.

Follicular-Lymphoma-Grade-3aBCL2
#00062582
 
Follicular-Lymphoma-Grade-3aKi67
#00062589
 
Follicular-Lymphoma-Grade-3aKi67
#00062590
 

Advertisement intended for health care professionals