Advertisement intended for health care professionals

Chronic Lymphoproliferative Disorder of NK Cells

Author:  Reva Goldberg; Girish Venkataraman, MD, MBBS; Grace Suh, 08/20/2019
Category: Lymphoma: Mature T and NK cell lymphoproliferations > Mature T-cell Leukemias > Chronic Lymphoproliferative Disorders of NK Cells
Published Date: 08/20/2019

This is an 83-year-old male with history of chronic kidney disease, hypothyroidism and past history of anemia, coming for follow-up of anemia.  At this time patient has fatigue and loss of appetite.

His current CBC at the time of presentation:
WBC-------------       4600/mcL (normal)
Hemoglobin----          10 g/dL (low)
MCV--------------        113 fL     (elevated)
Platelet count-  153,000/mcL (normal)

Differential count:
Lymphocytes 65% (elevated)
Neutrophils 32%    (low)
Monocytes 3%      (low)

The findings here are typical for chronic lymphoproliferative disorder of NK cells (CLPD-NK), the NK cells counterpart of T–large granular lymphocyte leukemia.  These are indolent and sometimes clonal lymphoproliferations that may cause progressive cytopenias in the context of autoimmune disease.  About 10 months after initial diagnosis, the patient exhibited progressive cytopenias with pancytopenia.

Learning points:

  1. NK cells express CD2 and CD7 but are negative for CD3, CD4 and CD5.  There may be variably positive for CD8.
  2. Persistent elevated absolute lymphocyte count of >2000/mcL for 6 months or more is seen in most patients.
  3. STAT3 mutations are common in these patients and are associated with more pronounced clinical manifestations
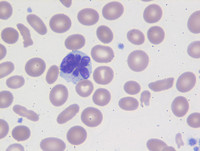
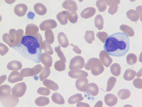
Figure 1: Blood in CLPD-NK

Peripheral smear is notable for multiple lymphocytes with irregular and clefted nuclear contours with moderate to abundant amount of pale cytoplasm with prominent azurophilic granules.

Chronic-Lymphoproliferative-Disorder-of-NK-Cells--Blood
#00062690
 
Chronic-Lymphoproliferative-Disorder-of-NK-Cells--Blood
#00062691
 
Chronic-Lymphoproliferative-Disorder-of-NK-Cells--Blood
#00062692
 
Figure 2: Flow Plots Depicting CD45/SS & CD3/SS in CLPD-NK

The scattered plot on the left side shows about 43% CD45 expressing lymphocytes.  The T cells which are positive for CD3 are colored and blue while the abnormal NK cell population is colored and green.  Examination of the CD3/site scattered plot on the right side shows a prominent NK cell population.

Chronic-Lymphoproliferative-Disorder-of-NK-Cells--Flow-Plots
#00062701
 
Chronic-Lymphoproliferative-Disorder-of-NK-Cells--Flow-Plots
#00062697
 
Figure 3: Flow Plots Depicting CD3/CD5 & CD3/CD7 in CLPD-NK

This NK cell population is negative for CD3 and CD5 but positive for CD7.  The normal T cells express CD3, CD5 and CD7.  Note that this is gated on the lymphocytes.  The CD3 -/CD7 - cells correspond to B cells.

Chronic-Lymphoproliferative-Disorder-of-NK-Cells--Flow-Plots
#00062694
 
Chronic-Lymphoproliferative-Disorder-of-NK-Cells--Flow-Plots
#00062695
 
Figure 4: Flow Plots Depicting CD7/CD2, CD5/CD7, & CD3/CD2 in CLPD-NK

The abnormal NK cell population is positive for CD2 and CD7 but negative for CD3 and CD5.

Chronic-Lymphoproliferative-Disorder-of-NK-Cells--Flow-Plots
#00062699
 
Chronic-Lymphoproliferative-Disorder-of-NK-Cells--Flow-Plots
#00062698
 
Chronic-Lymphoproliferative-Disorder-of-NK-Cells--Flow-Plots
#00062693
 
Figure 5: Flow Plots Depicting CD8/CD4 in CLPD-NK

The NK cell population is negative for CD4 and CD8.  The normal T cells are positive for either CD4 or CD8.  Note that there is predominance of CD8 T cells.  Rarely, mixed phenotype large granular lymphocyte leukemia (T–and NK-) may be observed although this case comprises mostly NK cells.

Chronic-Lymphoproliferative-Disorder-of-NK-Cells--Flow-Plots
#00062700
 
Figure 6: Flow Plots Depicting CD56/CD57 & CD3/CD57 in CLPD-NK

The NK cell population is positive for CD56 and CD57.  A subset of the normal T cells (plot on the right side) express CD57.

Chronic-Lymphoproliferative-Disorder-of-NK-Cells--Flow-Plots
#00062702
 
Chronic-Lymphoproliferative-Disorder-of-NK-Cells--Flow-Plots
#00062696
 

Advertisement intended for health care professionals