Advertisement intended for health care professionals

Mixed Phenotype Acute Leukemia, B/myeloid

Author:  Reva Goldberg; Mir B. Alikhan, MD; Sandeep Gurbuxani, MD, PhD; Girish Venkataraman, 08/22/2019
Category: Myeloid Neoplasms and acute leukemia (WHO 2016) > Acute leukemias of ambiguous lineage > Mixed phenotype acute leukemia, B/myeloid, NOS
Published Date: 08/22/2019

This is an 86-year-old male with marked leukocytosis presenting with a diagnosis of acute leukemia.  Peripheral smear and bone marrow biopsy was examined with concurrent CBC with flow cytometry was  to characterize the leukemia.

The findings from the bone marrow flow cytometry in this case support the diagnosis of an acute leukemia with mixed myeloid and B-cell lineage.  These leukemias falls under the umbrella of 'Acute leukemia of ambiguous lineage' in the new WHO 2016 classification schema.

CBC Data:

WBC...........95,000/mcL

Hemoglobin...........9.9g/dL

88% circulating blasts

 

Learning points:

These are rare leukemias and adherence to the WHO 2016 requirements for assigning appropriate lineage is necessary to arrive with the diagnosis.

2.  Testing for underlying Philadelphia chromosome and MLL rearrangements is necessary in these cases since these are the two most common underying recurrent abnormalities detected in these cases.

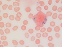
Figure 2: Blood in MPAL-BM


Myeloperoxidase cyto-chemistry is positive in 5-10% of blasts.  The image on the left side shows neutrophil with strong expression on the top with 1 of 2 blasts on the right side of the image showing scattered marrow peroxidase positive granules within the cytoplasm.  The image on the right side shows a single blasts with cytoplasmic myeloperoxidase positive granules.

Mixed-Phenotype-Acute-Leukemia-Bmyeloid-Blood
#00062707
 
Mixed-Phenotype-Acute-Leukemia-Bmyeloid-Blood
#00062708
 
Figure 3: Flow Plots showing CD34, CD117 and CD7 in MPAL-BM

The gating plot on the top left shows large blast population comprising over 80% of all cells extending from the dim 45 region through the monocytic region.  The image on the top right shows that the large blast population demonstrates variable expression of CD117 but is negative for CD34.  The smaller cluster of cells expressing both CD34 and CD117 corresponds to residual myeloid blasts.  The plot on the bottom left shows that the blasts express aberrant CD7.  Note that the normal CD34 positive myeloid blasts do not express CD7.

Mixed-Phenotype-Acute-Leukemia-Bmyeloid-Flow-Plots-CD45vsSS
#00062715
 
Mixed-Phenotype-Acute-Leukemia-Bmyeloid-Flow-Plots-CD117vsCD34
#00062716
 
Mixed-Phenotype-Acute-Leukemia-Bmyeloid-Flow-Plots-CD7vsCD34
#00062709
 
Figure 4: Flow Plots CD13, C33, CD19 and CD123 in MPAL-BM

The blasts are positive for CD13, CD33 with moderate CD19.  They are negative for CD123.

Mixed-Phenotype-Acute-Leukemia-Bmyeloid-Flow-Plots-CD13vsCD33
#00062710
 
Mixed-Phenotype-Acute-Leukemia-Bmyeloid-Flow-Plots-CD123vsCD19
#00062717
 
Figure 5: Flow Plots CD22, CD79a, TdT and myeloperoxidase in MPAL-BM

About half of the blasts are positive for cytoplasmic CD79a.  There is questionable dim cytoplasmic CD22.  Note that the blasts are positive for TdT with cytoplasmic myeloperoxidase expression in in the blast subset negative for CD79a.

Mixed-Phenotype-Acute-Leukemia-Bmyeloid-Flow-Plots-CD22vsCD79a
#00062712
 
Mixed-Phenotype-Acute-Leukemia-Bmyeloid-Flow-Plots-nTDTvscMPO
#00062721
 
Figure 6: Flow Plots Cytoplasmic CD3, TdT expression in MPAL-BM

The blasts are negative for cytoplasmic CD3 with variable expression of CD33 and cytoplasmic myeloperoxidase.  The green color indicates the subset of blasts positive for CD79a.

Mixed-Phenotype-Acute-Leukemia-Bmyeloid-Flow-Plots-nTDTvsCD34
#00062719
 
Mixed-Phenotype-Acute-Leukemia-Bmyeloid-Flow-Plots-nTDTvsCD3
#00062720
 
Mixed-Phenotype-Acute-Leukemia-Bmyeloid-Flow-Plots-cMPOvsCD33
#00062718
 
Figure 7: Flow Plots CD36, CD64, CD33, CD58 and CD15 in MPAL-BM

The blasts are positive for CD36, CD64, CD58 and largely negative for CD15, mature granulocytic marker.  A small subset of blasts express CD15.

Mixed-Phenotype-Acute-Leukemia-Bmyeloid-Flow-Plots-CD36vsCD64
#00062714
 
Mixed-Phenotype-Acute-Leukemia-Bmyeloid-Flow-Plots-CD33vsCD58
#00062713
 
Mixed-Phenotype-Acute-Leukemia-Bmyeloid-Flow-Plots-CD15vsCD10
#00062711
 
WHO 2016 Requirements for Assigning More Than One Lineage to a Single Blast Population

The figure below depicts the current WHO 2016 requirements for assigning more than one lineage to a single blast population.

In this case that is moderate–bright expression of CD19 on the blasts corresponding to expression levels in normal B cells coupled with expression of CD79a, thereby allowing designation of B-cell lineage.

Additionally, myeloperoxidase is positive by flow cytometry, cytometry as well as immunohistochemistry (not shown), confirming additional myeloid lineage.

WHO-2016-Requirements-for-Assigning-More-Than-One-Lineage-to-a-Single-Blast-Population
#00062722
 
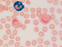
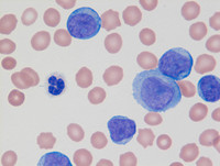
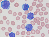
Figure 1: Blood in MPAL-BM

Examination of the peripheral blood shows multiple pleomorphic blasts varying in size from small to medium size to larger forms with abundant cytoplasm and folded nuclear contours and variably prominent nucleoli.  Occasional dysplastic neutrophil is seen in the image on the top left.

Mixed-Phenotype-Acute-Leukemia-Bmyeloid-Blood
#00062705
 
Mixed-Phenotype-Acute-Leukemia-Bmyeloid-Blood
#00062706
 

Advertisement intended for health care professionals