Advertisement intended for health care professionals

Case history of a child with sickle cell anemia in India

Author:  Reena Das; Diksha Dev Yadav; Prashant Sharma; Amita Trehan, 10/01/2019
Category: Red Cell: Hemoglobin disorder > Sickle cell anemia and related sickling syndromes
Published Date: 10/02/2019

A three years old male child, native of Jharkhand, Central India presented with mild pallor, icterus, and history of on and off abdominal and joint pains. On examination the child had mild splenomegaly. He had history of two prior hospital admissions. First at the age of 1 year, when he was diagnosed to have pneumonia and second, at the age of 3 years (3 months prior to coming to our institution) for fever, anemia and jaundice. He has had three transfusions till now, last transfusion was 3 months back. There is history of sibling death at 5 years of age due to fever and jaundice.

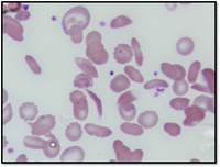
The hemogram showed anemia with leukocytosis. Red cell morphology (Figure 1) revealed severe anisopoikilocytosis with macrocytes, microcytic hypochromic red cells, target cells, many boat cells, sickled RBCs, polychromatic cells and occasional nucleated RBCs. Results of the automated blood cell counts showed Hb 7.7 g/dl, RBC 2.44 x 109/l, MCV 97.1 fl, MCH 31.4 pg, MCHC 32.3 g/dl, RDW 26.6%. There were occasional nucleated red cells and relative neutrophilia. Further to confirm HbS, a sickling test using freshly prepared 2% sodium meta-bisulphite was performed which was positive (Figure 2).

Hemoglobin HPLC on Bio-Rad Variant 2 showed raised fetal hemoglobin (HbF) and a variant peak in S window (71.9%) at retention time of 4.36 mins. Adult Hb (HbA) of 8.5% was noted (Figure 3). Figure 4 shows Cellulose acetate hemoglobin electrophoresis at alkaline pH (8.6), which showed a prominent band in S/D/G region and a faint band in F region. Investigations of the father showed also showed a variant peak in S window (32.9%) at retention time of 4.36 mins along with HbA (57.1%) on HPLC with Bio-Rad Variant II which is diagnostic of Sickle cell trait (Figure 5).

 

DISCUSSION

Sickle cell disease (SCD) is the most common symptomatic hemoglobinopathy caused as a result of inheritance of two copies of the sickle β-globin gene variant (βS). A single nucleotide substitution leading to replacement of glutamic acid by valine at position 6 of the β-globin polypeptide chain leads to formation of HbS which is responsible for disease manifestation.  SCD has a wide geographical distribution throughout major parts of Africa, the Middle East, India and in some regions of Mediterranean countries. In India, it is mainly concentrated in the central region including parts of Madhya Pradesh, Chattisgarh, Orissa, Maharashtra, Gujrat and Jharkhand. HbS has carrier frequencies varying from 5 to 35% and are especially seen amongst the scheduled tribes, scheduled castes and other backward castes.

Sickle cell mutation is believed to be originated five times in history spontaneously. This can be elucidated by five βS-globin haplotypes. These haplotypes include Senegal (SEN), Benin (BEN), Bantu or the Central African Republic (CAR), Cameroon (CAM) and Arab-Indian (ARAB). They enable us to understand the origin, evolution, migration and natural selection of genetic defects. They can be identified by specific restriction sites within the β-globin gene cluster. Different haplotypes are known to have different HbF levels. Senegal and Arab-Indian haplotypes have higher HbF levels when compared to other haplotypes. However, recently a study has investigated the origins of the sickle mutation by using whole-genome-sequence data to conclude that there might be single origin of sickle allele.

 

LEARNING POINTS

1.    Sickle cell disease (SCD) is the most common symptomatic hemoglobinopathy in the world, largely seen in parts of Africa, the Middle East, India and in some regions of Mediterranean countries.

2.    SCA is a monogenic disorder with an autosomal recessive inheritance. The parents are clinically asymptomatic and have normal blood counts. They are usually diagnosed incidentally or as a result of family studies in SCA patients.

3.    Neonates are asymptomatic due to high HbF, but symptoms begin to appear by six months of age. Many infants present with lethal complications at first presentation. This emphasizes the importance of newborn screening in these susceptible pre-symptomatic cases in endemic regions.

4.    SCA has a variable clinical course amongst different individuals depending upon various genetic determinants like βs haplotype, factors affecting HbF levels and co-inheritance of other disease modifying factors.

5.    Diagnosis mainly relies upon identification of HbS (by any of the following HPLC, Hb Electrophoresis, Iso-electric focusing or sickling test). Once HbS is identified, it has to be validated by alternative method.

6.    Treatment of sickle cell disease generally aims at relieving symptoms and preventing infections, sickle cell crises and long-term complications. Stem cell transplant is the only potential cure available presently.

Figure 1

Peripheral smear showing sickle cells, elliptocytes and ovalocytes.

Figure-1
#00062795
 
Figure 2

Sickling test positive.

Figure-2
#00062798
 
Figure 3

HPLC pattern of the index case with sickle cell anemia showing HbS and HbF peaks.

Figure-3
#00062796
 
Figure 4

Hemoglobin electrophoresis at alkaline pH. Black arrow shows the index case with HbS and HbF bands.

Figure-4
#00062799
 
Figure 5

HPLC pattern of the father of index case with sickle cell trait.

Figure-5
#00062797
 

Advertisement intended for health care professionals