Advertisement intended for health care professionals

Case history of a child with X-linked congenital sideroblastic anemia.

Author:  Prashant Sharma; Reena Das, 11/29/2019
Category: Red Cell: Disorders of Iron Metabolism and Heme Synthesis > Sideroblastic anemias > Hereditary/Congenital Sideroblastic Anemia > X-linked Sideroblastic anemia
Published Date: 11/29/2019

A two-year-old boy presented with severe anemia first noted at around 3 months of age and growth failure. He had been transfused thrice previously, at ages of 7, 12 and 18 months. He was the first-born child of a non-consanguineous marriage with normal birth weight, no neonatal jaundice or any family history of severe anemia in childhood. On examination, there was severe pallor and the spleen was enlarged 3 cm below the left costal margin. He was underweight and stunted. Other systemic examination, including neurological evaluation, was normal.

 

The hemogram at our centre revealed Hb 50 g/L, total leukocyte count (TLC) 4.9 x10^9/L (neutrophils 2.4 x10^9/L, lymphocytes 2.6 x10^9/L), platelets 333 x10^9/L and reticulocyte count 79.6 x10^9/L (reference range 25-75). The mean corpuscular volume (MCV) was 68.7 fl, mean corpuscular hemoglobin (MCH) was 20.2 pg, mean corpuscular hemoglobin concentration (MCHC) was 294 gm/L, and red cell distribution width-coefficient of variation (RDW-CV) was 35.1%. The blood film revealed moderate to severe anisopoikilocytosis with predominantly microcytic hypochromic red cells, a few normocytic hypochromic forms, many dacryocytes, pencil cells, fragmented and misshapen red cells and a few codocytes and stippled cells (Figure 1).

 

The hematology analyzer (LH750, Beckman Coulter Inc., FL, USA) revealed a dimorphic red cell population (Figure 2). His last blood transfusion was 5 months prior to this presentation, and surviving transfused normocytic red cells were unlikely. The other analyzer findings were interference at the upper end of the platelet histogram, likely from his many microcytic red cells, and a mean sphered cell volume (MSCV) of 65.6 fl. The latter finding (MSCV <10 fl lower than the MCV) corroborated the absence of spherocytosis.

 

Renal and liver function tests including bilirubin levels were normal. Working-up further for microcytic hypochromic anemia, hemoglobin HPLCs of the child as well as his parents were normal. Iron profile suggested increased stores: serum iron 156.9 µg/dl (ref. range 50-170), total iron binding capacity 320.2 µg/dl (ref. range 220-395), percentage transferrin saturation 52% and serum ferritin 512 ng/ml (ref. range 20-170). G6PD deficiency screening by methemoglobin reduction test and tests for plasma and urine hemoglobin were normal. Supra-vital staining did not reveal HbH inclusions.

 

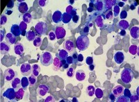
Bone marrow evaluation was done. Aspirate smears were highly cellular with myeloid to erythroid ratio of 1.3:1 and adequate megakaryocytes. The erythroid precursors were micronormoblastic with persistent cytoplasmic basophilia and 11% dyserythropoiesis, predominantly in the form of nuclear membrane irregularities, budding and occasional binucleate forms (Figure 3). No increase in blasts or dysplasia in the non-erythroid lineages was seen.

 

Perls’ Prussian blue stain showed increased iron stores (4+ to 5+, Figure 4). Examination under oil immersion objective revealed approximately 20% of the erythroblasts with circumferential iron granules numbering at least 5 or covering at least 1/3rd of the nuclear circumference (ring sideroblasts, Figure 5).

 

In view of the strong suspicion of congenital sideroblastic anemia, Sanger sequencing of ALAS2 was undertaken. A previously reported mutation, NM_000032.4:c.508C>A (p.Arg170Ser) in exon 5 in hemizygous state was detected, confirming the morphological diagnosis. [Ref. https://link.springer.com/article/10.1007%2Fs12185-010-0688-4 AND http://www.annlabmed.org/journal/view.html?volume=38&number=4&spage=389#B6]

 

LEARNING POINTS

-       Congenital sideroblastic anemias are rare diseases characterized by highly variable phenotypic expressions. They occur due to mutations in genes involved in the biosynthesis of heme, iron-sulfur clusters or mitochondrial proteins.

-       The most common X-linked recessive congenital sideroblastic anemia is caused by mutations in the erythroid-specific δ-aminolevulinate synthase-2 (ALAS2) gene (coding for the first enzyme of the heme biosynthetic pathway).

-       The association of dimorphic red blood cells with hereditary sideroblastic anemias has been long described in medical literature.

-       Dual red cell populations may be more prominent in heterozygous female carriers of the genetic trait and can also be found in acquired anemias with ring sideroblasts.

-       Other commoner causes of dimorphic RBC populations include dual or multiple nutritional deficiencies, recent transfusions, hematinic therapy etc.

-       Ring sideroblasts are erythroid progenitors that display iron accumulation in perinuclear mitochondria.

-       The Perls’ stain has been prescribed as a basic minimum requirement in all bone marrow examinations.

-       Microscopic grading of iron content and determination of its cellular localization is vital in all bone marrows performed in anemic patients or those in whom dysplasia is a concern.

Figure 1

Peripheral blood film shows moderate anisopoikilocytosis with microcytic hypochromic red blood cells alongwith normocytic normochromic forms, teardrop cells and elliptocytes.

Figure-1
#00062859
 
Figure 2

A screenshot of the automated analyser screen (Beckman Coulter LH750) shows a dimorphic red cell population (blue arrows) on the RBC histogram as well as among the flags. There is interference at the upper end of the platelet histogram from microcytic red cells (orange arrow). The WBC histogram is normal.

Figure-2
#00062860
 
Figure 3

Bone marrow aspirate smear shows micronormoblastic erythroblasts with persistent cytoplasmic basophilia and mild dyserythropoiesis.

Figure-3
#00062861
 
Figure 4

Perls’ Prussian blue stain on the bone marrow aspirate smear shows increased iron stores.

Figure-4
#00062862
 
Figure 5

Ring sideroblasts are seen on the Perls’ Prussian blue stain on the bone marrow aspirate smear.

Figure-5
#00062863
 

Advertisement intended for health care professionals