Advertisement intended for health care professionals

Indolent T-cell Lymphoproliferative Disorder of the GI tract

Author:  Jay Mehta; Reva Channah Goldberg; Anita Borges, 12/02/2019
Category: Lymphoma: Mature T and NK cell lymphoproliferations
Published Date: 12/02/2019

A 71-year-old male presented with a history of diarrhea and weight loss. He had two colonic biopsies preiviously. A CT scan showed mild hepato-splenomegaly and insignificant mesenteric adenopathy. He was treated with Azathioprine and corticosteroids for a presumptive diagnosis of ulcerative colitis as well as a brief empirical course of anti-tuberculous medication. A lower GI endoscopy revealed multiple small polyps extending from the ileum to the rectum, one of which was biopsied.

 The patient remained symptomatic and had no disease progression for 8 years despite not receiving therapy for a T-cell lymphoma. A description of similar indolent T-cell “lymphoproliferations” of the GI tract appeared in the literature (Blood 2013,122;3599-3606) and it was concluded that this case was a clonal Indolent T-cell lymphoproliferative disorder of the GI tract.

 Over a period of 96 months, the patient did not receive therapy for a peripheral T-cell lymphoma. Azathioprine and corticosteroid therapy appeared to have no effect on the natural course of the disease. The patient remained symptomatic but had no disease outside of the gastrointestinal tract consistent with this entity.

Learning Points:

1) Indolent T-cell lymphoproliferative disorder of the GI tract is recognized in the new WHO 2017

2) Most cases are usually CD8+ while other cases can be CD4+

Colonoscopy in Indolent T-cell Lymphoproliferative Disorder

Colonoscopy depicts polyps extending from ileum to rectum. 

Indolent-Tcell-Lymphoproliferative-Disorder-Colonoscopy
#00062873
 
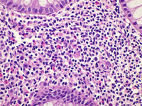
Figure 1: Colonic Biopsy H&E in Indolent T-cell Lymphoproliferative Disorder

These slides are from the second colonic biopsy. All three colonic biopsies revealed an almost similar morphology of a lymphoid infiltrate composed of medium sized lymphocytes expanding the lamina propria and displacing the crypts. There was no evidence of crypt invasion, cryptitis, or significant distortion of crypt architecture. The lymphoid cells had mature nuclear chromatin, inconspicuous nucleoli, and a moderate amount of eosinophilic to clear cytoplasm. Mitotic figures were hard to find, and an infiltrate of eosinophils also accompanied the lymphoid cells.

Indolent-Tcell-Lymphoproliferative-Disorder-HE-Low-Power
#00062871
 
Indolent-Tcell-Lymphoproliferative-Disorder-HE-High-Power
#00062872
 
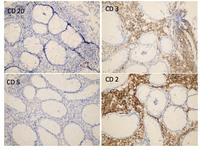
Figure 2: Colonic Biopsy CD20, CD3, CD5, CD2, & CD7 in Indolent T-cell Lymphoproliferative Disorder

More immunostains were preformed on the second biopsy than were preformed on the first one. The image displays positive CD3, CD2, and CD7 as well as negative CD20 and CD5. The immunoprofile was remarkable for loss of CD5.

Indolent-Tcell-Lymphoproliferative-Disorder-CD20-CD3-CD5-CD2--CD7
#00062869
 
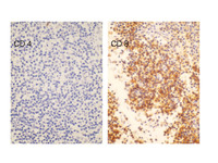
Figure 3: Colonic Biopsy CD4 & CD8 in Indolent T-cell Lymphoproliferative Disorder

More immunostains were performed on this second biopsy than on the first biopsy. The images below depict negative CD4 and positive CD8 immunostains. The immunoprofile was remarkable for CD8 restricted population of T-cells.

Indolent-Tcell-Lymphoproliferative-Disorder-CD4--CD8
#00062870
 
Figure 4: T-cell Receptor Gene Rearrangement Studies in Indolent T-cell Lymphoproliferative Disorder

Clonality analysis with BIOMED primer sets was carried out on thesecond and third biopsies at the time of diagnosis. Both results showed IgH in germline and rearrangements in beta and gamma chains of T-cell receptors. The T-cell receptor gene rearrangement studies showed TCR gamma & TCR beta chains rearranged. 

Indolent-Tcell-Lymphoproliferative-Disorder-TCR-Gamma--TCR-Beta
#00062868
 
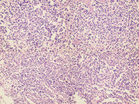
Figure 5: Colonic Biopsy H&E Low Power in Indolent T-cell Lymphoproliferative Disorder

The third biopsy depicted medium sized lymphoid infiltrate in the lamina propria. The infiltrate displaces the glands, but does not invade the epithelium. There is no overt destruction. The lymphoid cells have mature nuclear chromatin, inconspicuous nucleoli, scant cytoplasm with an infiltrate of eosinophils. 

Indolent-Tcell-Lymphoproliferative-Disorder-HE-Low-Power
#00062878
 
Indolent-Tcell-Lymphoproliferative-Disorder-HE-Low-Power
#00062881
 
Figure 6: Colonic Biopsy H&E High Power in Indolent T-cell Lymphoproliferative Disorder

The third biopsy depicted medium sized lymphoid infiltrate in the lamina propria. The infiltrate displaces the glands, but does not invade the epithelium. There is no overt destruction. The lymphoid cells have mature nuclear chromatin, inconspicuous nucleoli, scant cytoplasm with an infiltrate of eosinophils.

Indolent-Tcell-Lymphoproliferative-Disorder-HE-High-Power
#00062879
 
Indolent-Tcell-Lymphoproliferative-Disorder-HE-High-Power
#00062882
 
Indolent-Tcell-Lymphoproliferative-Disorder-HE-High-Power
#00062880
 
Figure 7: Colonic Biopsy CD20, CD3, CD5, & CD2 in Indolent T-cell Lymphoproliferative Disorder

The third biopsy immunostians depicted below were negative for CD20 and CD5 while they were positive for CD3 and CD2. 

Indolent-Tcell-Lymphoproliferative-Disorder-CD20-CD3-CD8--CD2
#00062876
 
Figure 8: Colonic Biopsy CD4 & CD8 in Indolent T-cell Lymphoproliferative Disorder

The third biopsy immunostains depicted below were negative for CD4 and positive for CD8. 

Indolent-Tcell-Lymphoproliferative-Disorder-CD4--CD8
#00062874
 
Figure 9: Colonic Biopsy Immunostains in Indolent T-cell Lymphoproliferative Disorder

The third biopsy immunostains depicted below were negative for CD56 and Granzyme B. They were positive for TIA-1 and TCR-BF1. 

Indolent-Tcell-Lymphoproliferative-Disorder-CD56-Gr8-TIA1--TCRBF1
#00062877
 
Figure 10: Colonic Biopsy CD8 & MBI-1 in I

CD8 immunostain was positive, and MIB 1 labeling amounted to < 5%.

Indolent-Tcell-Lymphoproliferative-Disorder-CD8
#00062875
 
Indolent-Tcell-Lymphoproliferative-Disorder-MB1
#00062883
 

Advertisement intended for health care professionals