Advertisement intended for health care professionals

Littoral cell angioma

Author:  Manisha Goel; Kyle Parker; Daniel A. Arber; Girish Venkataraman, 07/29/2020
Category: Lymph Node and Spleen: Reactive/infectious > Benign Splenic lesions > Littoral cell angioma
Published Date: 07/29/2020

A 70 years old male presented with gradual abdominal distension. Physical examination was consistent with splenomegaly. USG showed an enlarged spleen measuring 27 cm with multiple hemangiomas. Multiple hypoattenuating masses were evident on CT as well. Subsequently, splenectomy was performed. Cut surface of the resected spleen revealed multiple well-demarcated masses. Microscopy aided by immunostaining confirmed the diagnosis of littoral cell angioma (LCA) of spleen.

Learning points

  1. Littoral cell angiomas (LCAs) are rare benign vascular neoplasms that presumably originate from splenic sinus lining (littoral) cells of the splenic red pulp sinuses
  2. The immunophenotype of tumor cells in LCA is rather unique with dual endothelial (CD31+, ERG+, but CD34- and WT1-) and histiocytic differentiation (CD68+, CD163+, lysozyme+), allowing distinction of LCA from histological mimics.
  3. CD34, although expressed in normal splenic endothelial cells, does not highlight splenic littoral cells in LCA. This also helps to distinguish LCA from other vascular tumors of spleen.
  4. CD8, a key marker of normal littoral cells is classically not expressed in LCA, differentiating it from normal splenic sinuses and splenic hamartoma. On the other hand, CD21, a marker that is not expressed in normal littoral cells, is abnormally expressed by tumor cells in LCA, at least focally.
  5. Langerin and CD21 staining have been found to be highly sensitive and specific to help distinguish LCA from other vascular lesions of spleen.
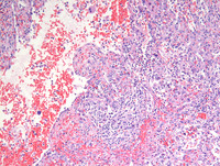
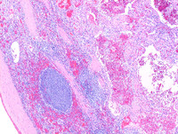
Figure 1: H&E images

Low power photomicrographs reveal a well demarcated tumor within the red pulp and uninvolved spleen at the periphery. Tumor shows proliferation of anastomosing vascular channels interspersed with dilated vascular and cyst like spaces.

Littoral-cell-angioma-HE
#00063113
 
Littoral-cell-angioma-HE
#00063110
 
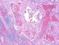
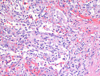
Figure 2: H&E images

As noted on medium power photomicrograph (Image on the left), vascular channels have irregular lumina with focal papillary projections. High power photomicrograph (Image on the right) reveals vascular channels that are lined by tall and plump, bland-looking cells, some of which are seen projecting and sloughing into the lumina. Cytologic atypia is not evident.

Littoral-cell-angioma-HE
#00063111
 
Littoral-cell-angioma-HE
#00063112
 
Figure 3: CD31 and ERG (Ets-related gene)

Both CD31 (Image on the left) and ERG (Image on the right) are endothelial markers and typically stain the sinus lining cells in LCA, as expected.

Littoral-cell-angioma-CD31
#00063106
 
Littoral-cell-angioma-ERG
#00063109
 
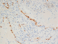
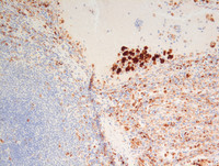
Figure 4: CD8

CD8 expression by normal sinus lining (littoral) cells highlights the architectural framework of the red pulp. Note the negative CD8 staining in sinus lining cells of LCA, while, normal splenic sinuses at the periphery of lesion are positive for CD8.

Littoral-cell-angioma-CD8
#00063104
 
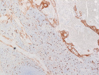
Figure 5: CD34

Endothelium of peripheral splenic vessels are highlighted by CD34 (bottom left of image), and the lining tumor cells of anastomosing channels (top right of image). However the expression of CD34 in this case in the lesional endothelium is unusual for LCAs.

Littoral-cell-angioma-CD34
#00063107
 
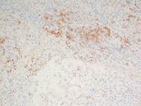
Figure 6: CD68

Antibody to CD68 demonstrates dual staining of the sinus lining littoral cells and macrophages within the vessel lumina.

Littoral-cell-angioma-CD68
#00063108
 
Figure 7: Langerin

Langerin can be seen highlighting the sinus lining cells in LCA. Whether this represents true CD207 expression or cross-reactivity is still uncertain.

Littoral-cell-angioma-Langerin
#00063114
 
Figure 8: CD21

CD21 expression (a marker of follicular dendritic cells) by the sinus lining cells of LCA is very focal in this case.

Littoral-cell-angioma-CD21
#00063105
 

Advertisement intended for health care professionals