Advertisement intended for health care professionals

Isolated marrow involvement by transformed follicular lymphoma

Author:  Manisha Goel, MD, MBBS; Sonali M Smith, MD; Girish Venkataraman, MD, MBBS, 08/05/2020
Category: Lymphoma: Mature B-cell and Plasma cell Neoplasms > Low-grade B-cell lymphoma > Follicular Lymphoma > Transformed follicular lymphoma
Published Date: 08/05/2020

A 61 years old male, previously treated for follicular lymphoma presented with new onset cytopenia, 2 years after the completion of initial chemotherapy. PET scan at the time revealed diffuse cervical, axillary and abdominal lymphadenopathy. Axillary lymph node biopsy showed follicular lymphoma grade 3A with no evidence of transformation. LDH was normal and patient had no B-symptoms. However, bone marrow biopsy at this time revealed a diffuse large B-cell lymphoma, indicating extra-nodal dissemination and histologic transformation of follicular lymphoma. 

Transformation of follicular lymphoma (FL) is defined by the histologic documentation of diffuse infiltration of lymph node by large cells leading to effacement of follicular architecture. In bone marrow, it is evident as distinct para-trabecular infiltrates of large cells. Biological factors associated with transformation of FL include loss of follicular dendritic cells, inactivation of tumor suppressor genes like p53 and CDKN2A, mutations in BCL2/BCL6, BCL6 translocation and MYC deregulation. 

FL most commonly transforms into diffuse large B cell lymphoma (DLBCL).  

While transformed DLBCL frequently retains the germinal center immunophenotype (CD10, BCL6, BCL2) of the preceding FL, antigenic drift may occur in rare cases. t(14;18) and light chain restriction are usually preserved during the transformation. Certain clinical features characterizing the increased risk of transformation include sudden rise in LDH, rapid discordant localized nodal growth, new involvement of unusual extra-nodal sites, new B symptoms and new hypercalcemia. However, absence of these clinical features does not preclude the diagnosis of FL transformation. 

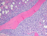
Figure 1: Bone marrow biopsy H&E

Low power (Image to the left) and medium power (Image to the right) photomicrographs reveal characteristic para-trabecular infiltrate of large cells with presence of normal hematopoietic cells in adjacent bone marrow. 

Transformed-Follicular-lymphomaBone-marrow-biopsy-HE
#00063127
 
Transformed-Follicular-lymphomaBone-marrow-biopsy-HE
#00063125
 
Figure 2: Bone marrow biopsy H&E

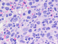
High power photomicrograph of para-trabecular infiltrate reveals predominant large centroblasts with scant to moderate amphophilic cytoplasm. Nuclei are vesicular with multiple peripheral nucleoli. Rarely, the nuclei of centroblasts are predominantly polymorphic and multilobated, as noted here.  

Follicular lymphoma with diffuse architecture should be differentiated from DLBCL by presence of mixture of centrocytes and centroblasts and lack of sheets of large cells. 

Transformed-Follicular-lymphomaBone-marrow-biopsy-HE
#00063126
 
Figure 3: Bone marrow biopsy-CD19 and CD20

Neoplastic cells typically express B cell markers like CD19 (image to the left) and CD20 (image to the right) in transformed FL. Normal B cells in bone marrow are also highlighted in the background. 

Transformed-follicular-lymphoma-Bone-marrowCD19
#00063123
 
Transformed-follicular-lymphomaBone-marrowCD20
#00063124
 
Figure 4: Bone marrow biopsy-BCL2 and CD10

Germinal center phenotype of follicular lymphoma is retained during transformation, leading to positive staining of neoplastic cells by BCL2 (left) and CD10 (right). Background normal T-cells express BCL2.  CD10 also stains normal neutrophils in the bone marrow. So interpretation must be done carefully.

Transformed-follicular-lymphoma-Bone-marrowBCL2
#00063121
 
Transformed-follicular-lymphomaBone-marrowCD10
#00063122
 
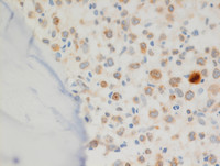
Figure 5: Bone marrow biopsy-Ki67

Ki67 staining is very low here, which is unexpected in a case of transformed high grade lymphoma like DLBCL. Nuclear stains like Ki67 can have suboptimal staining secondary to decalcification and fixation of bone marrow biopsies and thus should not be interpreted as such in these settings.

Transformed-Follicular-lymphoma-Bone-marrowKi67
#00063128
 

Advertisement intended for health care professionals