Advertisement intended for health care professionals

Isolated breast involvement by extranodal Rosai-Dorfman disease

Author:  Manisha Goel, MD, MBBS; Anna Biernacka; Heather Smith, MD; Girish Venkataraman, MD, MBBS, 08/05/2020
Category: Macrophage/Histiocytic and dendritic cell Neoplasms and disorders (2015) > R group > Sporadic RDD > Extranodal RDD
Published Date: 08/05/2020

The patient is a 66-year-old female with left breast DCIS who presented with an additional lump measuring 1.4 cm in the upper inner quadrant of left breast on USG. Stereotactic biopsy was performed and the findings were characteristic of Rosai-Dorfman disease (RDD). The disease was localized to the breast lump and no further evidence of additional mass or lymph node involvement by RDD was found. 

Learning points

  1. RDD typically presents with lymphadenopathy and often also involve extra nodal sites. However, RDD isolated solely to the breast is a very rare occurrence.  

  1. Initial radiographic and clinical appearance of RDD can masquerade the variable breast lesions ranging from benign cysts and fibroadenoma to carcinoma and thus need further evaluation. 

  2. RDD histiocytes are typically large and polygonal with vesicular nuclei, abundant cytoplasm and exhibit characteristic emperipolesis. 

  3. In cases with indistinct emperipolesis; presence of stromal fibrosis and a prominent lymphoplasmacytic inflammatory infiltrate should prompt a careful search for the characteristic histiocytes. This can be further aided by the use of S-100 immunohistochemistry. 

  4. RDD cases, particularly extra-nodal type, often present with variable sclerosis and increased number of IgG4 positive plasma cells, features characteristic for IgG4 related disease. However, they lack the characteristic storiform fibrosis of IgG4 related disease and further studies are needed to evaluate the overlap between two entities. 

Figure 1: H&E images of breast lump

The low power images demonstrate replacement of breast parenchyma by sheets of large histiocytes and moderate intervening fibrosis admixed with dense lymphoplasmacytic infiltrate. Thick hyalinizing fibrotic band is evident at the periphery of the lesion (image to the left). 

Extranodal-RosaiDorfman-disease-HE
#00063135
 
Extranodal-RosaiDorfman-disease-HE
#00063136
 
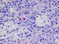
Figure 2: H&E images of breast lump

On high power photomicrographs, these infiltrating histiocytes have vesicular nuclei, abundant pale vacuolated cytoplasm and indistinct cell borders. Scattered histiocytes are notable for the presence of engulfed intact lymphocytes and red cells within the cytoplasmic vesicles (Black arrow). This process is known as ‘emperipolesis’, a microscopic hallmark of the entity. Compared to nodal RDD, extranodal RDD often demonstrates more fibrosis and a lesser degree of emperipolesis.  

Extranodal-RosaiDorfman-disease-HE
#00063130
 
Extranodal-RosaiDorfman-disease-HE
#00063129
 
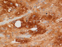
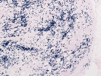
Figure 3: Breast lump-S-100

Nuclear and cytoplasmic S-100 protein expression is typical for these histiocytes (as opposed to reactive histiocytes which do not express S100). Also note the highlighted entrapped inflammatory cells in their cytoplasm, which are negative for S-100 protein (black arrow). Additionally, histiocytes in RDD are positive for CD68 and negative for CD1a expression, which helps differentiate this condition from other histocytic disorders like Langerhans cell histiocytosis and Erdheim-Chester disease. 

Extranodal-RosaiDorfman-disease-S100
#00063138
 
Extranodal-RosaiDorfman-disease-S100
#00063137
 
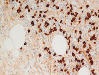
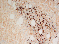
Figure 4: Breast lump-IgG4

Low power (Image to the left) and high power (Image to the right) photomicrographs showing increased IgG4 positive plasma cells, which are often seen in RDD but does not mandate designation as IgG4 related disease.

Extranodal-RosaiDorfman-disease-IgG4
#00063132
 
Extranodal-RosaiDorfman-disease-IgG4
#00063131
 
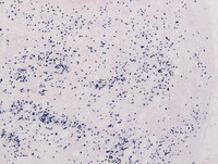
Figure 5: Breast lump-Kappa and Lambda stains

Both the stains were positive depicting the polyclonal nature of infiltrating plasma cells (Left image- Kappa; Right image - Lambda). 

Extranodal-RosaiDorfman-disease-Kappa
#00063133
 
Extranodal-RosaiDorfman-disease-Lambda
#00063134
 

Advertisement intended for health care professionals