Advertisement intended for health care professionals

Sezary syndrome

Author:  Manisha Goel; Moe Takeda, MD; Girish Venkataraman, MD, MBBS; Dilshad Dhaliwal, M.D, 08/06/2020
Category: Lymphoma: Mature T and NK cell lymphoproliferations > Mature T-cell Leukemias > Sezary Syndrome
Published Date: 05/28/2021

A 66-year-old man presented with a persistent pruritic rash. He had an extensive history of cutaneous neoplasms including actinic keratosis, basal cell carcinoma, and low grade melanoma. The rash initially started as few red lesions on his head and face, quickly spreading throughout his body, consistent with eryrthroderma. Mild bilateral axillary and inguinal lymphadenopathy was demonstrated on PET/CT. Complete blood counts showed leukocytosis (31,500/μl) with 67% circulating atypical cells along with a normal hemoglobin and platelet count. Classic morphology of these atypical lymphoid cells, definite flow cytometry findings and presence of underlying monoclonal T cell population helped establish the diagnosis of Sezary syndrome. 

The clinical images below show an widespread cutaneous involvement, Sezary cells in peripheral blood, and flow cytometry plots showing an abnormal T-cell population, consistent with the diagnosis of Sezary syndrome.  

Learning points: ​

  1. Sezary syndrome is classically defined as a triad of
    • erythroderma
    • generalized lymphadenopathy,
    • and presence of clonal neoplastic  CD4+T-cells in the skin, lymph nodes, and peripheral blood. 
  2. Cell of origin- T helper cell ( T follicular cell)
  3. Circulating atypical lymphoid cells show prominent clefting and convolution of nuclei, referred to as cerebriform morphology, is a main morphological clue to the diagnosis of Sezary syndrome. 
  4. An expanded CD4+ T cell population with CD4:CD8 ratio >10 , loss of CD7 and/or CD26 in the CD4 T-cells are the typical aberrations detected on flow cytometry. 
  5. Hallmark of skin biospies is Epidermotropism (neoplastic CD4+ T lymphocytes in epidermis) with formation of Pautrier's microabscesses.
  6. Main Differential Diagnosis for Sezary Syndrome is Adult T-cell Leukemia/Lymphoma (ATLL) due to similar presentation including widespread lymphadenopathy, cutaneous lesions and involvement of peripheral blood. Additionally, CD4 T-cell immunophenotype with loss of CD7 is observed in ATLL as well.
  7. Following points help in distinguishing ATLL from SS: 
    •  Malignant cells in ATLL are typically characterized as 'flower cells’ with multiple nuclear convolutions and lobes (as opposed to cells with cerebriform and clefted nuclei in SS).  
    • Clonal proliferation of lymphocytes in ATLL is linked etiologically to human T-cell lymphotropic virus (HTLV)-1. 
    • Presence of bone lesions and hypercalcemia, high levels of CD25 are seen particularly in acute variant of ATLL.
Figure 1: Clinical image

Note the widespread redness and scaling of skin, consistent with erythroderma, a characteristic feature of Sezary syndrome. Patients often experience persistent itching.

Sezary-syndrome-Erythroderma
#00063139
 
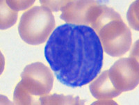
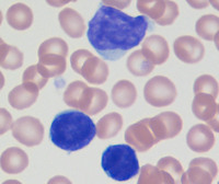
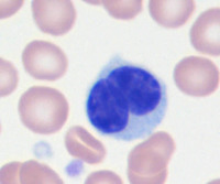
Figure 2: Peripheral blood smear

Note the medium-sized atypical lymphoid cells (Sezary cells) with convoluted (Top left image), cerebriform (Top right image) and clefted nuclei (Bottom image).

Sezary-syndromePeripheral-blood-smear
#00063143
 
Sezary-syndromePeripheral-blood-smear
#00063144
 
Sezary-syndromePeripheral-blood-smear
#00063145
 
Figure 3: Flow plots-CD4 versus CD8

Flow cytometry on peripheral blood demonstrating an expanded population of CD4 T-cells (green population) with significantly increased CD4/CD8 ratio of 46:1 (>10:1). 

Sezary-syndromeImmunophenotype
#00063140
 
Figure 4: Flow plots- CD7 vs CD26

The plot on the left shows abnormal CD4+ T-cell population (green population) that is negative for CD7 whereas the normal CD8+ T-cells (red population) are positive for CD7 expression. 

The plot on the right shows that the abnormal CD4+ T-cell population (green population) is additionally negative for CD26 expression. 

Sezary-syndromeImmunophenotype
#00063141
 
Sezary-syndromeImmunophenotype
#00063142
 

Advertisement intended for health care professionals