Advertisement intended for health care professionals

AML with myelodysplasia-related changes

Author:  Manisha Goel, MD, MBBS; Girish Venkataraman, MD, MBBS; Angela Lager; Lucy Godley, MD, 10/23/2020
Category: Myeloid Neoplasms and acute leukemia (WHO 2016) > Acute Myeloid Leukemia > Acute myeloid leukemia with myelodysplasia-related changes
Published Date: 10/23/2020

A 53-year-old male presented with fever and pancytopenia (WBC count:1300/μl; Hb:9 gm/dl; Platelet count:6000/μl). These findings depicted below established the diagnosis of AML with myelodysplasia related changes (AML-MRC) associated with a complex karyotype and TP53 mutation. 

Learning points 

  1. AML-MRC is classically defined by presence of a history of MDS/significant multilineage dysplasia/or MDS-related cytogenetic abnormalities [with the exception of del(9q)]. 

  2. Cases of AML related to prior cytotoxic therapy (therapy-related myeloid neoplasms) or cases that have a recurring cytogenetic abnormality are excluded from this category. 

  3. Aberrations, including complex karyotype and monosomal karyotype [such as monosomy 5/del(5q) or monosomy 7/del(7q)] have been shown to have inferior prognosis. Additionally, abnormalities of TP53 are frequently observed in association with these karyotypes which may suggest an even worse prognosis in this generally poor prognostic group. 

  4. Multilineage dysplasia, as seen in AML-MRC can also be observed in cases of de novo AML with mutated NPM1 and mutated CEBPA. However, these cases should be categorized according to the molecular genetic abnormality and not under AML-MRC; unless an MDS related cytogenetic abnormality is documented, which then takes precedence over mutated NPM1 and CEBPA.  

  5. Multilineage dysplasia with predominant megakaryocytic dysplasia can also be seen in cases of AML with inv(3) (q21.3q26.2) or t(3;3)(q21.3;q26.2) or germline GATA2 mutation, but these are recognized as distinct entities and are not included in AML-MRC.  

In conclusion, assessment for karyotypic abnormalities and gene mutations must be undertaken in all cases of suspected AML-MRC due to important prognostic implications. Moreover, these findings are crucial for excluding AML associated with alternative genetic abnormalities allowing appropriate classification of these entities.  

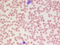
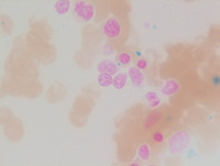
Figure 1: Peripheral blood smear

Markedly decreased WBC count with occasional circulating blasts (top of the image) are seen on peripheral smear. Red cells demonstrate moderate anisopoikilocytosis with microcytes and macrocytes. Platelets are markedly decreased. There is no evidence of dysplastic neutrophils.   

AML-with-myelodysplasia-related-changes-Peripheral-blood-smear
#00063285
 
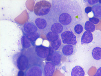
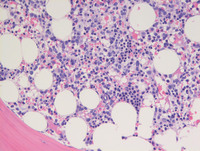
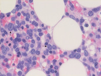
Figure 2: Bone marrow aspirate

Aspirate smears are cellular and demonstrate increased numbers of blasts accounting for 31% of all cells. The blasts are small to medium in size with scant to moderate basophilic cytoplasm, round nuclear contours, fine chromatin and prominent nucleoli (Black arrow-Top left image). Erythroid precursors show megaloblastoid maturation with occasional erythroid precursors demonstrating nuclear irregularities consistent with dysplastic changes. Several dysplastic micromegakaryocytes, frequently with hypolobated and widely separated nuclei are noted (White arrow-Top right image). Additionally, occasional dysplastic megakaryocytes exhibiting "pawn-ball" cytomorphology are seen (Green arrow-Bottom image). Such pawn-ball megakarytocytes are often described in patients with germine GATA2 mutations.

AML-with-myelodysplasia-related-changes-Bone-marrow-aspirate
#00063283
 
AML-with-myelodysplasia-related-changes-Bone-marrow-aspirate
#00063282
 
AML-with-myelodysplasia-related-changes-Bone-marrow-aspirate
#00063284
 
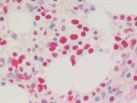
Figure 3: Bone marrow biopsy H&E

Core biopsy is normocellular as evident on low power (Top left image). High power images demonstrate increased number of large mononuclear cells with fine chromatin and prominent nucleoli, compatible with blasts (Black arrow-Top right image). Islands of erythroid precursors are also noted. Megakaryocytes are decreased and occasional micromegakaryocytes with separated nuclear lobes or a single nuclear lobe are identified (White arrow-Bottom image). Reticulin stain showed mild fibrosis.  

AML-with-myelodysplasia-related-changes-Bone-marrow-biopsy-HE
#00063291
 
AML-with-myelodysplasia-related-changes-Bone-marrow-biopsy-HE
#00063289
 
AML-with-myelodysplasia-related-changes-Bone-marrow-biopsy-HE
#00063290
 
Figure 4: Bone marrow biopsy-Prussian blue

Adequate histiocytic iron and some sideroblastic iron without ringed sideroblasts is noted. 

AML-with-myelodysplasia-related-changes-Bone-marrow-biopsy-Iron
#00063292
 
Figure 5: Bone marrow biopsy-NPM1

Stain is negative for cytoplasmic expression of NPM1 in blast cells. Nuclear restricted expression indicates wild-type pattern.

AML-with-myelodysplasia-related-changes-Bone-marrow-biopsy-NPM1
#00063293
 
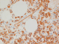
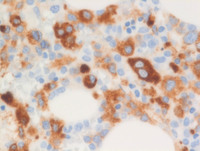
Figure 6: Bone marrow biopsy-CD34

Blasts expressing CD34 (small CD34+ cells-Left image) are seen admixed with dysplastic megakaryocytes staining with CD34 (white arrow-Right image). Such aberrant staining by dysplastic megakaryocytes is non-specific and is frequently seen in malignant myeloid processes.

AML-with-myelodysplasia-related-changesBone-marrow-biopsy-CD34
#00063287
 
AML-with-myelodysplasia-related-changesBone-marrow-biopsy-CD34
#00063286
 
Figure 7: Bone marrow biopsy-CD61

CD61 is typically highlighting the micromegakaryocytes, which are frequently unilobated and bilobated. 

AML-with-myelodysplasia-related-changes-Bone-marrow-biopsyCD61
#00063288
 
Figure 8: Karyotype

Loss of chromosomes 5, 7, 16 and 17 is noted in the karyotype (Black arrow). Loss of chromosome 5 or 7 or deletion of a portion of the long arm of these chromosomes [del(5q) or del(7q)] are the most commonly encountered chromosome abnormalities in AML-MRC. Additionally, loss of chromosome 17 results in loss of TP53 located at chromosome band 17p13.1. 

AML-with-myelodysplasia-related-changes-karyotype
#00063281
 
Figure 9: Next generation sequencing

This shows a mutation in exon 5 of the TP53 tumor suppressor gene producing an arginine to histidine substitution at amino acid 175, within the DNA binding domain of the p53 protein. Mutation at codon R175 in TP53 can affect the global conformation of p53 protein leading to functional conversion of TP53 from a tumor suppressor to an oncogene. In AML, TP53 mutations correlate with an unfavorable outcome.  

AML-with-myelodysplasia-related-changes-NGS
#00063294
 

Advertisement intended for health care professionals