Advertisement intended for health care professionals

An unusual cause for neoplastic eosinophilia: Nothing on morphology

Author:  Manisha Goel, MD, MBBS; Hongtao Liu, MD; Moe Takeda, MD; Girish Venkataraman, MD, MBBS, 10/23/2020
Category: Myeloid Disorders > Hypereosinophilic syndrome
Published Date: 10/23/2020

This is a 27 years old female with history of atopic dermatitis and long-standing eczema for 6-7 years. Hematology referral was made due to persistent isolated eosinophilia. Absolute increase in eosinophil count (5260/μl) was noted in conjunction with presence of increased eosinophils on bone marrow evaluation. IgG was increased and IgE levels were unknown. Levels of vitamin B12 and Tryptase were found to be normal. Flow cytometry of peripheral blood revealed aberrant CD3-/CD4+ T cell population and an underlying clonal T-cell receptor gene rearrangement was evident on molecular analysis. Genetic studies including FISH and next generation sequencing were negative for abnormalities in PDGFRA, PDGFRB, FGFR1, JAK2 and BCR/ABL1, excluding myeloid neoplasm-related eosinophilia. These findings supported the diagnosis of Lymphocytic variant of Hypereosinophilic syndrome (L-HES). 

Learning points 

  1. Hypereosinophilic syndrome (HES) is a rare disorder defined by elevation of absolute eosinophil count (>1500/μl) in the peripheral blood, accompanied by organ involvement/dysfunction.  

  2. Lymphocytic variant of HES (L-HES), an indolent lymphoproliferative disease is a diagnosis of exclusion. Hypereosinophilia due to clonal neoplastic disorder like FIP1L1-PDGFRA fusion(F/P+) positive chronic eosinophilic leukemia and other myeloproliferative disorders must be ruled out by cytogenetic studies. 

  3. Clinically, predominant cutaneous manifestations in absence of cardiac involvement, prior history of atopy associated with elevated serum IgE should help support the diagnosis of L-HES over F/P associated HES which is more likely to present with splenomegaly, heart involvement, increased vitamin B12 levels, anemia/thrombocytopenia, and presence of myeloid precursors in peripheral blood. 

  4. Diagnosis of L-HES is supported by presence of monoclonal T cell population in conjunction with immunophenotypically aberrant T cells in the blood; CD3-/CD4+, being the most frequently reported immunophenotype. There is variable lymphocytosis but may be absent in some cases. Cytokine production (particularly IL-4, IL-5 and IL-13) by these aberrant T cells is believed to cause reactive blood and tissue eosinophilia. 

  5. Given the absence of circulating atypical cells, flow cytometry immunophenotyping is indispensable in diagnosing this neoplastic cause of peripheral eosinophilia. 

  6. A correct diagnosis of L-HES is crucial for the following reasons: 

  • Different treatment from clonal eosinophilia, notably because of frequent corticosteroid dependency in L-HES.  
  • Clonal T cells found in L-HES can be mistaken for aggressive T-cell lymphoma especially TFH-derived lymphomas if careful attention is not paid to the clinical setting. 
Figure 1: Lymphocytic variant of HES-Peripheral blood smear

Low power image (Left) demonstrates an increase in eosinophils with normocytic normochromic RBCs and adequate number of platelets. As evident on high power (Image to the right), eosinophils are typically mature with appropriate granulation. Though, occasional reactive lymphoid cells were noted, there was no evidence of lymphocytosis, atypical lymphoid cells, circulating blasts or cellular dysplasia in the peripheral blood smear. 

Lymphocytic-variant-of-HES-Peripheral-blood
#00063297
 
Lymphocytic-variant-of-HES-Peripheral-blood
#00063295
 
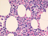
Figure 2: Lymphocytic variant of HES-Bone marrow biopsy H&E

Bone marrow is mildly hypocellular for age (40% cellularity) as evident on low power photomicrograph on the left. High power photomicrograph (right) shows increase in eosinophils and eosinophilic precursors, scattered throughout the marrow. Trilineage hematopoiesis is seen with adequate maturation. Bone marrow showed less than 4% blasts and no overt dysplasia was observed. Additionally, no increase in marrow fibrosis was observed on reticulin stain. 

Lymphocytic-variant-of-HES-Bone-marrow-biopsy
#00063299
 
Lymphocytic-variant-of-HES-Bone-marrow-biopsy
#00063298
 
Figure 3: Lymphocytic variant of HES-Flow cytometry
  • Flow cytometry of the blood demonstrated an abnormal T-cell population (48% of lymphocytes) with loss of surface CD3 as evident on top left plot (Blue population). However, this population was positive for CD5 expression.
  • The plot on top right shows positive CD4 and negative CD8 expression in this aberrant T cell population (Blue).
  • Bottom plot shows that the aberrant T cell population (Blue) is positive for CD2 with lack of CD7 in majority.
  • Additionally, this T cell population was negative for CD8, CD10, CD11c, CD56 and CD57, not depicted here. 
Lymphocytic-variant-of-HES-Immunophenotype
#00063300
 
Lymphocytic-variant-of-HES-Immunophenotype
#00063301
 
Lymphocytic-variant-of-HES-Immunophenotype
#00063296
 

Advertisement intended for health care professionals