Advertisement intended for health care professionals

Hairy Cell Leukemia

Author:  Dilshad Dhaliwal; Mir Alikhan, MD, 08/15/2021
Category: Lymphoma: Mature B-cell and Plasma cell Neoplasms > Splenic lymphomas > Hairy Cell Leukemia
Published Date: 09/06/2022

A 70-year-old male presented with altered mental status and generalized weakness. Imaging showed mild splenomegaly and a 4.6-cm confluent soft tissue mass in the retroperitoneum interposed between the aorta, inferior vena cava, portal vein, and encasing the right renal artery and right renal vein.

 Laboratory evaluation was significant for the following:

White blood cell counts 20.5 × 10^3/μL (Neutrophils 0.82 x 10^3/μL, Lymphocytes 19.68 x 10^3/μL, Monocytes 0 x 10^3/μL, Eosinophils 0 x 10^3/μL, Basophils 0 x 10^3/μL)

Hemoglobin 8.0 g/dL; Platelet count 20 × 10^3/μL

 

  • A peripheral blood smear showed lymphocytosis consisting of small to intermediate-sized cells (figure 1). These often shows slightly irregular nuclei, clumped chromatin pattern, inconspiuous nucleoli, and abundant clear-blue cytoplasm. The cytoplasm often showed circumferenctial projections or blebs.
  • Bone marrow aspirate smears contained cellular spicules that showed abundant cells morphologically like those seen in the peripheral blood (figure 2).
  • The core biopsy showed a hypercellular marrow (~85% cellularity) infiltrated by sheets of monotonous lymphocytes with abundant clear cytoplasm, leaving the nuclei to exhibit a "fried-egg" appearance (figure 3).
  • By immunohistochemical stains, the atypical lymphoid cells were positive for CD20, cyclin D1/BCL1, and Annexin A1 (figure 3). 
  • Flow cytometric immunophenotyping detected a lambda-restricted B-cell population expressing bright CD20, weak CD25, variable CD103, and CD200, without co-expression of CD5, CD10, or CD123 (figure 4).

The morphological, IHC, flow cytometry and molecular studies pointed towards a diagnosis of hairy cell leukemia (HCL).

Learning Points –

  • HCL is a rare small, mature B-cell neoplasm that classically involves predominantly the bone marrow and spleen. Marked splenomegaly is usually present.
  • Classical features including monocytopenia, splenomegaly, the morphology and pattern of marrow infiltration, and the immunophenotype (expression of bright CD20, CD25, CD103, CD200, Annexin A1, BCL1, and BRAF V600E) established a diagnosis of HCL.
  • Molecular studies show positive BRAF V600E mutation. Nearly 100% cases are positive for BRAF V600E. Adverse prognostic indicators once diagnosis of HCL is made include unmutated IGHV and expression of the IGHV VH-34 (IGHV4-34+) immunoglobulin rearrangement.
  • This case had a few atypical findings such as-
  1. Diminished fibrosis resulting in abundantly cellular aspirate particles, and
  2. An atypical immunophenotype (e.g., absence of CD123 expression).
  • Treatment includes therapy with Cladribine, also historically responds well to purine analogues such as Pentostatin.
  • Therefore, it is important to distinguish HCL from other small B-cell neoplasms that share similar morphologic and immunophenotypic features with HCL but may not respond to HCL-directed therapies
  • HCL-V (variant) atypically presents with leukocytosis, no monocytopenia and absence of CD25 and CD123. BRAF V600E mutation is also absent.
  • Recent treatment guidelines include use of Moxetumomab pasudox (MP), especially in HCL failing treatment after purine analog therapy. MP is an immunotoxin directed against CD22.
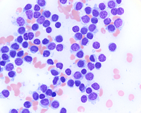
Peripheral blood

Figure 1- Peripheral blood film with a classic hairy cell morphology. The abundant pale blue cytoplasm is organized into hairy projections.

(Please note this picture is from a separate case of HCL)

Peripheral-Blood
#00063665
 
Bone marrow aspirate

Figure 2- The bone marrow aspirate is packed with atypical lymphoid cell with pale blue cytoplasm, bland nuclei and an inconspicuous nucleolus.

Bone-marrow-aspirate
#00063662
 
Bone core biopsy

Figure 3 - The bone core biopsy morphology of HCL, shows atypical lymphoid cells with clearing of cytoplasm due to hairy projection (chicken wire or fried-egg appearance). IHC is typically positive for CD20, Annexin A1 and BCL1.

Bone-core-biopsy
#00063664
 
Flow cytometry

Figure 4 - The flow cytometric analysis shows atypical B lymphoid cells brightly positive for CD19 and CD20, which are predominantly lambda restricted (clonal B cells). The neoplastic cells express CD103, CD200 and CD25. The tumor cells are negative for CD19 and CD123 (usually HCL expresses positive CD123).

Flow-cytometry
#00063663
 

Advertisement intended for health care professionals