Advertisement intended for health care professionals

Myelodysplastic syndrome with del(5q)

Author:  Mir Alikhan, MD; Girish Venkataraman, MD, 08/25/2021
Category: Myeloid Neoplasms and acute leukemia (WHO 2016) > Myelodysplastic Syndromes (MDS) > Myelodysplastic syndrome with isolated del(5q)
Published Date: 09/06/2022

The patient is an 88-year-old woman who presents with fatigue and dizziness. She was found to have unexplained macrocytic anemia with a hemoglobin of 9.3 g/dL and MCV of 105.1. Platelet and absolute neutrophil counts were normal (308,000 k/uL and 2,200 k/uL, respectively).

A bone marrow biopsy showed trilineage but atypical hematopoiesis. Most notably, megakaryocytes were often small and hypolobated with many showing a plasmacytoid appearance. Erythroid precursors sometimes showed irregular nuclear contours. Blasts were not increased. An iron stain did not demonstrate ring sideroblasts.

Karyotype and FISH studies showed deletion of 5q in 12 of 20 cells, without other abnormalities. Next-generation sequencing studies were negative for significant alterations. A diagnosis of myelodysplastic syndrome with isolated del(5q) was rendered. The patient has been well without treatment since diagnosis (8 months prior), but has been transfusion dependent. Treatment with lenalidomide is being considered.

 

Learning Points:

  1. Myelodysplastic syndrome with isolated del(5q) is a distinct entity characterized by anemia without other cytopenias. It may also present with thrombocytosis. It is more common in women of middle or elderly age.
  2. MDS with isolated del(5q) is retained as this in the new ICC without any changes compared to the prior revised fourth edition WHO classification except for change in terminology to "MDS with del(5q)".

  3. These cases by definition should not have more than one other alteration except -7 or del(7q). The classification of lower risk MDS in the current schema of the ICC includes cases with SF3B1 mutation and del(5q) while the remainder are categorized within MDS, NOS.

    Ref: 
    1. Arber DA, Orazi A, and Tefferi A coworkers. International Consensus Classification of Myeloid Neoplasms and Acute Leukemia: Integrating Morphological, Clinical, and Genomic Data. Blood. 2022 Jun 29.

Peripheral blood

Peripheral blood demonstrating macrocytosis without thrombocytopenia. Atypical, large platelets can be appreciated (arrow).

Peripheral-blood
#00063677
 
Bone marrow aspirate smear

The marrow aspirate smear is cellular with trilineage hematopoiesis.

Bone-marrow-aspirate-smear
#00063674
 
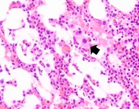
Atypical megakaryocytes

Many atypical megakaryocytes are seen characterized by small size, hypolobated or non-lobated nuclei, and often plasmacytoid appearance with eccentric nuclei. Erythropoiesis and granulopoiesis are relatively unremarkable. Blasts are not increased.

Atypical-megakaryocytes
#00063678
 
Bone core biopsy

Core biopsy also demonstrates atypical, hypolobated megakaryocytes (arrow).

Bone-core-biopsy
#00063675
 
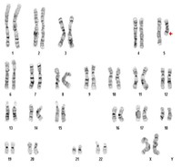
Cytogenetic studies

Conventional karyotype analysis demonstrates deletion of the long arm of chromosome 5 (arrow).

Karyotype-Studies
#00063676
 

Advertisement intended for health care professionals