Advertisement intended for health care professionals

Congenital Sideroblastic Anemia

Author:  Katherine Calvo, MD, PhD, 09/21/2015
Category: Red Cell: Disorders of Iron Metabolism and Heme Synthesis > Hemochromatosis > x linked (and other) hereditary sideroblastic anmia > Conditions of ineffective erythropoiesis > Hereditary and Acquired Sideroblastic Anemias
Published Date: 02/25/2016

8 year old female with congenital sideroblastic anemia

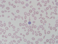
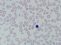
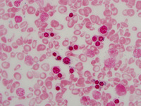
Peripheral Blood Smear

Peripheral blood smear images Showing marked anisopoikilocytosis, basophilic stippling, polychromasia and nRBCs.

Congenital-sideroblastic-anemia-peripheral-blood
#00060066
 
Congenital-sideroblastic-anemia-peripheral-blood
#00060065
 
Congenital-sideroblastic-anemia-peripheral-blood
#00060064
 
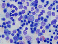
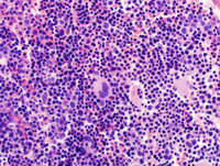
Aspirate

Bone marrow aspirate showing erythroid hyperplasia

Congenital-sideroblastic-anemia-aspirate
#00060071
 
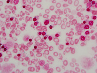
Iron Stain

The iron stain shows  ringed sideroblasts.

Congenital-sideroblastic-anemia-iron-stain
#00060068
 
Congenital-sideroblastic-anemia-iron-stain
#00060067
 
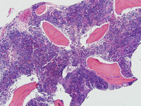
Bone Marrow Core Biopsy

Bone marrow core biopsy showing hypercellular marrow with erythroid hyperplasia

Congenital-sideroblastic-anemia-biopsy
#00060069
 
Congenital-sideroblastic-anemia-biopsy
#00060070
 

Advertisement intended for health care professionals