Advertisement intended for health care professionals

Lymphoplasmacytic lymphoma

Author:  Mir Alikhan, MD, 09/21/2021
Category: Lymphoma: Mature B-cell and Plasma cell Neoplasms > Low-grade B-cell lymphoma > Lymphoplasmacytic lymphoma
Published Date: 09/06/2022

A 70-year-old man with a history of urothelial carcinoma presents with fatigue. He is found to have anemia and elevated protein. Serum protein electrophoresis (SPEP) reveals an IgM kappa monoclonal protein present at 4.9 g/dL. Serum viscosity is elevated at 4.0-times higher than the normal range.

A bone marrow study with biopsy is performed. The peripheral blood showed a normocytic anemia with significant rouleaux formation. Atypical lymphocytes with plasmacytoid features were noted. The bone marrow demonstrated a diffuse proliferation of small lymphocytes admixed with plasmacytoid lymphocytes and clusters of plasma cells. Many Dutcher bodies, intra-nuclear pseudo-inclusions, were commonly seen. Flow cytometry identified a monotypic B-cell population negative for CD5 and CD10 but expressing bright CD20 and kappa light chain. Immunohistochemical stains on the core biopsy showed diffuse infiltration of CD20-positive B-cells, and increased kappa-restricted CD138-positive plasma cells. A diagnosis of lymphoplasmacytic lymphoma (LPL) was rendered. Molecular testing by next-generation sequencing identified a mutation in MYD88, p.L265P, affirming the morphologic diagnosis.

Learning Points:

  1. Lymphoplasmacytic lymphoma (LPL) is a neoplasm of mature B-cells exhibiting some plasmacytic differentiation. The result is a lymphoma comprising of small B-lymphocytes, plasmacytoid B-cells with more abundant cytoplasm, as well as clonal plasma cells.
  2.  LPL is frequently associated with the presence of an IgM monoclonal gammopathy. A diagnosis of LPL with bone marrow involvement along with IgM paraprotein is termed Waldenström’s macroglobulinemia (WM). Occasionally, patients with WM are found to have increased serum viscosity. This is due to the large, hydrophilic structure of the IgM antibodies. The IgM may also have autoantibody and cryoglobulin activity, leading to autoimmune disease or cryoglobulinemia.
  3. The peripheral blood and bone marrow are most commonly involved. A subset of patients shows involvement of lymph nodes or other organs.
  4. The bone marrow often shows increased mast cells. Another common features is the presence of Dutcher bodies, intranuclear pseudo-inclusions composed of immunoglobulin.
  5. About 95% of LPL cases harbor the MYD88 L265P mutation and the mutation predicts for response to BTK inhibitor therapy. In addition, presence of truncating CXCR4 mutations is associated with more aggressive disease and resistance to ibrutinib therapy. Hence testing for both MYD88 and CXCR4 are relevant in this context.
Lymphoplasmacytic lymphoma - Peripheral blood

Peripheral blood smear shows prominent rouleaux formation. Atypical lymphocytes, including plasmacytoid forms, are present.

Lymphoplasmacytic-lymphoma--Peripheral-blood
#00063746
 
Lymphoplasmacytic lymphoma - Bone marrow aspirate

Bone marrow aspirate smear shows increased small lymphocytes with clumped chromatin and scant cytoplasm (green arrow). Plasmacytoid lymphocytes (red arrow) and atypical plasma cells (black arrow) are seen. Mast cells are also increased (A, black circles).

Lymphoplasmacytic-lymphoma--Bone-marrow-aspirate
#00063745
 
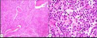
Lymphoplasmacytic lymphoma - Bone core biopsy

A bone core biopsy shows diffuse infiltration by small lymphocytes and plasma cells (A). Dutcher bodies (intra-nuclear pseudo-inclusions comprised of immunoglobulin) are readily identified (B).

Lymphoplasmacytic-lymphoma--Bone-core-biopsy
#00063749
 
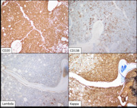
Lymphoplasmacytic lymphoma - IHC

Immunohistochemical stains show diffuse proliferation of CD20-positive B-cells (A). Clusters of CD138-positive plasma cells are also present (B). These were kappa-restricted (C) with only occasional lambda-positive cells (D).

Lymphoplasmacytic-lymphoma--IHC
#00063748
 
Lymphoplasmacytic lymphoma - Flow cytometry

Flow cytometry shows a monotypic B-cell population with bright CD20, negativity for CD5 and CD10, and bright kappa light-chain restriction.

Lymphoplasmacytic-lymphoma--Flow-cytometry
#00063744
 
Lymphoplasmacytic lymphoma - MYD88 mutation

Next-generation sequencing analysis on the bone marrow aspirate smear shows a T>C missense mutation at 30% of the reads in MYD88 L265, leading to the L265P mutation. The image is visualization of the NGS analysis using Integrated Genomics Viewer (IGV) software.

Lymphoplasmacytic-lymphoma--MYD88-mutation
#00063747
 

Advertisement intended for health care professionals