Advertisement intended for health care professionals

Classical Hodgkin lymphoma with focal strong CD20 expression

Author:  Mir Alikhan, MD, 09/22/2021
Category: Lymphoma: Hodgkin Lymphoma
Published Date: 10/19/2021

A 26-year-old man presented with a lump in the neck. He has had some weight loss, but is otherwise asymptomatic. A Computerized Tomography (CT) scan showed extensive cervical adenopathy.

An excisional biopsy was performed that shows effacement of the normal lymph node architecture with a rather diffuse to vaguely nodular lympho-histiocytic proliferation. The lymphocytes are mostly small; however, some larger, atypical forms are seen. These include cells with stippled chromatin, irregular nuclear borders, and often a prominent, eosinophilic nucleolus.

Immunohistochemical stains shows the atypical cells are weakly positive for Pax5. There is significant expression of CD30, and CD15 is partially positive. Although most are negative for CD20, occasional forms show some strong expression. The cells are partially/weakly positive for Oct2 and Bob1. EBER stain by in-situ hybridization shows positivity in the atypical cells only.

The differential diagnosis in this case is between a classical Hodgkin lymphoma or an EBV+ diffuse large B-cell lymphoma. Although the latter diagnosis is most commonly observed in the elderly, about 10% of cases occur in a younger age group. The lack of CD20 on most of the atypical cells, expression of CD15, as well and weaker expression of Oct2 and the EBER staining pattern favors the impression of classical Hodgkin lymphoma.

 

Learning Points:

- Classical Hodgkin lymphoma (cHL) is a neoplasm of germinal center-derived B-cells. In contrast to other lymphomas, the malignant cells of cHL form a distinct minority of cells in the lesion (0.1-2%). These are often in the form of Reed-Sternberg or Hodgkin cells; RS cells have lobated nuclei while Hodgkin cells are mononuclear. Both tend to exhibit large eosinophilic viral inclusion-like nucleoli.

- A number of morphologic subtypes of cHL are recognized, largely based on the composition of background immune cells accompanying the malignant RS or Hodgkin cells. The most common is nodular sclerosis cHL. Others include mixed cellularity, lymphocyte-rich, and lymphocyte-depleted.

- The vast majority (~95%) of cases show CD30 positivity, and most (~80%) also express CD15. Another characteristic feature is down regulation of the B-cell program. Namely, there is loss or down-regulation of CD20. B-cell transcription factors Oct2 and Bob1 are also lost or weakly expressed. Pax5 is often positive, but also weak.

- Atypical immunophenotypes have been described. CD20 can be positive in up to 80% of cases, but usually only in a subset. In such cases, other diagnoses should be considered, such as EBV+ diffuse large B-cell lymphoma, T-cell/histiocyte-rich large B-cell lymphoma, or nodular lymphocyte-predominant Hodgkin lymphoma. The constellation of clinical, morphologic, and immunophenotypic findings is necessary to arrive at the correct diagnosis, particularly in cHL cases with atypical immunoprofiles. This is critical as therapy is vastly different between cHL and non-Hodgkin lymphomas such as EBV+ DLBCL.

Classical Hodgkin lymphoma - CT scan

A CT scan of the neck shows extensive cervical adenopathy (circles).

Classical-Hodgkin-lymphoma--CT-scan
#00063751
 
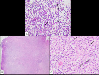
Classical Hodgkin lymphoma - H&E

A touch preparation of the lymph node shows mostly small lymphocytes and plasma cells (A). Occasional larger, atypical cells are seen with prominent eosinophilic viral-like nuclear inclusions (arrows). H&E-stained sections of the lymph node shows effaced architecture with diffuse involvement by a lympho-histiocytic process (B). Some background sclerosis can be appreciated. High-power magnification (C) shows mostly small lymphocytes, histiocytes, and plasma cells admixed with large, atypical cells similar to those observed in the touch preparations (arrows).

Classical-Hodgkin-lymphoma--HE
#00063754
 
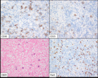
Classical Hodgkin lymphoma - IHC

Immunohistochemical stains show the atypical cells are positive for CD30 and CD15. Both show prominent Golgi area staining. EBER staining by in-situ hybridization was positive and restricted to the atypical cells. Pax5 was also positive in the large cells, but shows weak expression.

Classical-Hodgkin-lymphoma--IHC
#00063753
 
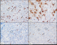
Classical Hodgkin lymphoma - IHC2

Additional immunostains shows that in most areas, CD20 was either weak (arrows) or negative (circles). Other areas show more prominent staining for CD20. Oct-2 and Bob.1 show occasional weak positivity in the atypical cells (arrows), but most were negative (circles).

Classical-Hodgkin-lymphoma--IHC-2
#00063752
 

Advertisement intended for health care professionals