Advertisement intended for health care professionals

Chronic lymphocytic leukemia with atypical features

Author:  Mir Alikhan, MD; Girish Venkataraman, MD, 09/29/2021
Category: Lymphoma: Mature B-cell and Plasma cell Neoplasms > Low-grade B-cell lymphoma > Chronic Lymphocytic Leukemia/Small Lymphocytic Lymphoma
Published Date: 09/06/2022

A 71-year-old man presents with fatigue. He was found to be anemic with a hemoglobin of 10.7 g/dL. A complete blood count also revealed a white blood cell count of 51,000 k/uL, with 80% of circulating cells being lymphocytes by the differential. A peripheral blood smear showed atypical lymphocytes. Some were small with round nuclei and clumped nuclear chromatin. However, many are enlarged with irregular nuclear contours and more abundant cytoplasm.

Flow cytometry was performed on the peripheral blood and showed a monotypic B-cell population with dim co-expression of CD20, CD5, CD23, dim kappa light-chain, and CD200. CD79b expression was absent.

A bone marrow study showed extensive infiltration by small to medium-sized lymphocytes in a rather diffuse manner. A diagnosis of chronic lymphocytic leukemia with atypical morphologic features was made. Cytogenetic studies showed trisomy 12 and deletion of 13q14. IGH sequencing analysis detected a B-cell clone with mutational analysis showing unmutated IGHV.

Learning points

1.      Trisomy 12 CLL have good prognosis in CLL with frequent CD38 expression and mutated IGHV. Deletion of 17p and del(11q) are typically associated with worse outcome and disease progression/transformation.

2.      The new International consensus classification (ICC) referenced below also recognizes the need to distinguish accelerated CLL from transformation as well as noting not to misinterpret cases of “pseudo-transformation” in the setting of BTKi withdrawal as Richter transformation.[1]

REF:
1. Arber DA, Orazi A, and Tefferi A coworkers. International Consensus Classification of Myeloid Neoplasms and Acute Leukemia: Integrating Morphological, Clinical, and Genomic Data. Blood. 2022 Jun 29.

Chronic lymphocytic leukemia - Peripheral blood

Peripheral blood smear shows prominent lymphocytosis. Some smudge cells (arrows) can be identified. The atypical lymphocytes show both small forms with clumped nuclear chromatin as well as some larger forms with more abundant cytoplasm.

The characteristic CLL cell is small with a round nucleus, scant cytoplasm, clumped nuclear chromatin, and inconspicuous nucleoli. The chromatin can appear like “cracked-earth” on smears and “chocolate-chip cookie” or “soccer ball”-like in tissue sections. Prolymphocytes are larger cells with a more visible nucleolus that can be observed in peripheral blood and tissue section. Often in tissue sections, larger cells with a central eosinophilic nucleolus can be seen, consistent with immunoblasts.

Chronic-lymphocytic-leukemia
#00063764
 
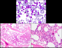
Chronic lymphocytic leukemia - Bone marrow

The bone marrow exhibits increased atypical lymphocytes with similar cytologic features as those seen in the peripheral blood (A). These are present in a diffuse pattern (B) infiltrating between normal hematopoiesis (C).

Chronic-lymphocytic-leukemia
#00063763
 
Chronic lymphocytic leukemia - IHC

Immunohistochemical stains show the lymphocytes are mostly CD20-positive B-cells with just a few background T-cells. There is aberrant expression of CD5, without cyclin D1 positivity.

Chronic-lymphocytic-leukemia
#00063762
 
Chronic lymphocytic leukemia - Flow cytometry

Flow cytometry shows a population of CD19+ cells with aberrant CD5 co-expression (black arrow). These have dim kappa expression (red arrow), dim CD20 expression (curved arrow), and positivity for CD23 (yellow arrow) and CD200 (green circle). CD10 and CD79b are both negative.

 

CLL Flow: CLL/SLL shows a characteristic immunophenotype. The B-cells show reduced expression of surface immunoglobulin and associated antigens, such as lights chains (kappa or lambda), CD20 and CD79b. Most cases are positive for CD200 by flow cytometry and LEF1 by immunohistochemical stain; CD23 is also often positive, but is not entirely sensitive or specific for CLL. There is aberrant co-expression of CD5, which is also seen in mantle cell lymphoma. However, cyclin D1 and the t(11;14) translocation are consistently negative.

Chronic-lymphocytic-leukemia--Flow-cytometry
#00063765
 
Chronic lymphocytic leukemia - Cytogenetics

Conventional karyotype shows trisomy 12 (arrow). FISH studies (not pictured) showed deletion of 13q14.

The karyotype is simple without any other major alterations.

Chronic-lymphocytic-leukemia--Trisomy-12
#00063766
 

Advertisement intended for health care professionals