Advertisement intended for health care professionals

Blastic Plasmacytoid Dendritic Cell Neoplasm (BPDCN) involving marrow

Author:  Andrew Levine; Harini Venkatraman Ravisankar; Girish Venkataraman; Karthik Ganapathi, 12/13/2021
Category: Myeloid Neoplasms and acute leukemia (WHO 2016) > Blastic plasmacytoid dendritic cell neoplasm
Published Date: 12/13/2021

A 70-year-old male presented with fatigue, weight loss and a peripheral blood smear performed at an outside hospital showed circulating blasts. Further workup with Bone marrow aspirate and core biopsy along with immunohistochemistry confirmed the diagnosis of Blastic Plasmacytoid Dendritic Cell Neoplasm (BPDCN) involving the marrow.

Karyotype analysis showed a complex karyotype involving multiple chromosomes in 5/30 metaphases. Next-generation sequencing (NGS) identified pathogenic mutations in ASXL1EZH2CSF3R, FLT3-TKD, IDH2SF3B1 and TP53.

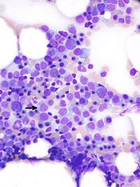
Marrow Aspirate at low power

Wright-Giemsa stained bone marrow aspirate at low power view shows blasts (arrow) with eccentric nucleus, moderate to abundant pale cytoplasm against a background of erythroid precursors.

Marrow-aspirate-at-low-power
#00063912
 
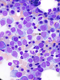
Marrow Aspirate at High power

Wright Giemsa stained bone marrow aspirate at higher magnification shows blasts (arrow) with eccentric nucleus having finely dispersed chromatin, moderate to abundant cytoplasm with occasional cytoplasmic vacuoles. Erythroid precursors are seen in the background. However typical circumferential microvacuolations of BPDCN blasts were not observed.

Marrow-aspirate-at-High-power
#00063913
 
Bone Marrow Biopsy at low power

H&E stained Bone marrow biopsy is hypercellular (50% cellularity) with increased mononuclear cells (blasts) best appreciated on the top left part of the image against a background of trilineage hematopoiesis.

Bone-marrow-biopsy-at-low-power
#00063914
 
 Bone Marrow Biopsy at high power

H&E stained Bone marrow biopsy shows medium to large sized blasts arranged in sheets with irregular nuclear contour and finely dispersed chromatin. Numerous mitotic figures are seen.

Bone-marrow-biopsy-at-high-power
#00063915
 
Marrow Biopsy Immunohistochemistry

At low power, clusters of cells are positive for CD4, CD56, CD123, and TCL1.

By flow cytometry, the blasts were positive for CD4, CD7, CD56 (variable), CD123 (bright) without expression of CD19, CD3, MPO, CD34, CD64.

Marrow-biopsy-Immunohistochemistry
#00063916
 

Advertisement intended for health care professionals