Advertisement intended for health care professionals

T-Lymphoblastic Lymphoma with early T-precursor phenotype

Author:  Mir Alikhan, MD; Joshua Wodskow, DO, 06/27/2022
Category: Myeloid Neoplasms and acute leukemia (WHO 2016) > Precursor Lymphoid Neoplasms > T-lymphoblastic leukemia/lymphoma
Published Date: 09/06/2022

The patient is a 22-year-old male who presented with chief complaints of rapidly enlarging left cervical mass over 2-month period. A CT scan revealed extensive left cervical lymphadenopathy throughout, right supraclavicular lymphadenopathy, and superior mediastinal lymphadenopathy most concerning for lymphoma (Figure 1).

An excisional biopsy was performed on a left cervical lymph node (Figure 2-4) and a sample was sent for flow cytometric analysis (Figure 5). The lymph node showed effaced architecture by a diffuse sheet of monomorphic highly proliferative mature small lymphoid cells. A diagnosis T-lymphoblastic leukemia was made. The positivity for CD33 and CD13 called into question the possibility of early precursor T-LBL. 

 

Learning points:

1.      Early T-cell precursor lymphoblastic leukemia (ETP-ALL) is a neoplasm of T-cell lineage with a unique immunophenotype indicating early T-cell differentiation.

2.     Uncommon neoplasm accounting for 10-13% of T-ALL in childhood and 5-10% of T-ALL in adults.

3.     Immunophenotyping reveals a neoplastic T cell population expressing CD7, cytoplasmic or rarely surface CD3, and one or more myeloid markers such as CD34, C-KIT (CD117), HLA-DR, CD13, CD33, CD11b, and/or CD65.

4.      Immunomarkers CD4, CD5 and/or CD2 may be expressed though CD5 should be expressed on <75% of the population. MPO, CD8, and CD1a are negative in ETP-ALL.

5. Myeloid associated genes and profiles may be overexpressed such as CEBPA, GATA2, CD34, CD44, and KIT. Additionally, LYL1 overexpression may be seen. Mutation profile is similar to those associated with myeloid leukemias: FLT3, RAS family, DNMT3A, NPM1, IDH1 and IDH2. NOTCH1 and CDKN1/2 are reported less.

6. ETP-ALL/LBL and T-cell ALL are treated similarly with intensive chemotherapy though optimal management remains unclear. Some regimens include: hyperCVAD therapy, nelarabine, cytarabine, fludarabine, idarubicine, and others. ETP-ALL/LBL has a poorer prognosis and lower overall survival though a consensus has not been reached and recent studies have conflicting outlooks.

T-lymphoblastic lymphoma, CT scan

There is extensive left-sided cervical lymphadenopathy with individual nodes measuring up to 3.5 cm in dimension and central necrosis present. There are enlarged left axillary lymph nodes, right supraclavicular lymph nodes, and there is a superimposed superior mediastinal lymphadenopathy.

TLymphoblastic-Lymphoma-CT-scan
#00064080
 
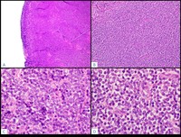
T-lymphoblastic lymphoma, H&E

Hematoxylin and eosin stain shows sheets of small immature lymphoid cells. They show irregular nuclear contours, blastic chromatin pattern, and variably prominent nucleoli.

TLymphoblastic-Lymphoma-HE
#00064079
 
T-lymphoblastic lymphoma - IHC stains

Immunohistochemical stains show the neoplastic cells are negative for CD4 (A), CD8 (B), and CD20 (C). Ki-67 shows strong positivity.

TLymphoblastic-Lymphoma--IHC
#00064078
 
T-Lymphoblastic Lymphoma - Additional IHC

Additional stains show positivity for CD3 (A), CD10 (B), and TdT (C). CD33 is also positive (D).

TLymphoblastic-Lymphoma--Additional-IHC
#00064077
 
T-Lymphoblastic Lymphoma - Flow Cytometry

Flow cytometry analysis revealed an atypical T-cell population showing expression of cytoplasmic CD3, CD7, CD13, CD10, CD56, and dim expression of CD5. Notably the neoplastic T-cells do not express surface CD3, CD4, CD8, CD1a, CD34, and CD117.

TLymphoblastic-Lymphoma--Flow-Cytometry
#00064076
 

Advertisement intended for health care professionals