Advertisement intended for health care professionals

Dyskeratosis Congenita

Author:  Suzanne Vercauteren, MD, PhD, FRCPC, 09/23/2015
Category: Bone marrow failure > Inherited Bone marrow failure syndromes > Dyskeratosis Congenita
Published Date: 02/25/2016
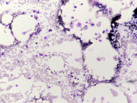
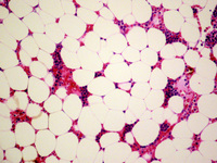
12 year old girl with moderate pancytopenia, marked hypocellular marrow (<10%) with reduced trilineage hematopoiesis, but no evidence of malignancy. Family history is significant for father who passed away of AML at age 32 years and sibling with thrombocytopenia. Telomere length shows very low telomere length in all populations analyzed (<1% percentile as expected for her given age) and genetic analysis revealed a TERC mutation. Overall this is consistent with Dyskeratosis Congenita.
Bone marrow

The marrow show marked hypocellular marrow (<10%) with reduced trilineage hematopoiesis, but no evidence of malignancy.

Dyskeratosis-Congenita
#00060091
 
Dyskeratosis-Congenita
#00060090
 
Dyskeratosis-Congenita
#00060089
 
Diagnostic material

 Telomere length shows very low telomere length in all populations analyzed (<1% percentile as expected for her given age) and genetic analysis revealed a TERC mutation. Overall this is consistent with Dyskeratosis Congenita.

Dyskeratosis-Congenita
#00060088
 

Advertisement intended for health care professionals