Advertisement intended for health care professionals

Therapy-related myeloid neoplasm (acute myeloid leukemia)

Author:  Elizabeth L. Courville, MD, 09/23/2015
Category: Myeloid Neoplasms and acute leukemia (WHO 2016) > Acute Myeloid Leukemia > Therapy-related myeloid neoplasms
Published Date: 02/25/2016

67 year old female with a history of breast cancer diagnosed 2 years prior to this biopsy and treated with cytotoxic chemotherapy.
Therapy related myeloid neoplasms include therapy-related acute myeloid leukemia (t-AML), myelodysplastic syndrome (t-MDS), and myelodysplastic/myeloproliferative neoplasms (t-MDS/MPN). These neoplasms occur as late complications of cytotoxic chemotherapy and/or radiation therapy administered for a prior neoplastic or non-neoplastic disorder.
Cytogenetic analysis of the bone marrow specimen in this case was abnormal showing a t(6;11)(q27;q23) by karyotype and a MLL gene rearrangment in 90.5% of cells examined by FISH.
A balanced chromosomal translocation is seen in about 25% of cases of therapy-related myeloid neoplasm. Such cases are generally associated with a short latency period, most often present as overt AML without a preceding myelodysplastic phase, and are associated with prior topoisomerase II inhibitor therapy.

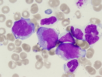
Peripheral blood smear

The peripheral blood shows anemia, thrombocytopenia, and a leukocytosis with numerous circulating blasts.

Therapyrelated-myeloid-neoplasm-Acute-myeloid-leukemia
#00060095
 
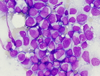
Aspirate smear and touch preparation

Blasts are increased on differential count of the aspirate smear (44%).

Therapyrelated-myeloid-neoplasm-Acute-myeloid-leukemia
#00060094
 
Therapyrelated-myeloid-neoplasm-Acute-myeloid-leukemia
#00060093
 
Trephine Core

The trephine core is hypercellular with frequent blasts. Scattered megakaryocytes are notable for widely separated nuclear lobes.

Therapyrelated-myeloid-neoplasm-Acute-myeloid-leukemia
#00060092
 

Advertisement intended for health care professionals