Advertisement intended for health care professionals

T cell ALL

Author:  Katherine Calvo, MD, PhD, 09/29/2015
Category: Myeloid Neoplasms and acute leukemia (WHO 2016) > Precursor Lymphoid Neoplasms > T-lymphoblastic leukemia/lymphoma
Published Date: 02/25/2016

6 year old female with anemia and thrombocytopenia 

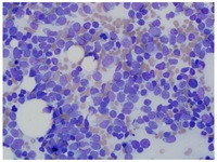
Peripheral Blood

6 year old female with anemia and thrombocytopenia with blasts on peripheral smear

T-cell-ALL-peripheral-blood
#00060120
 
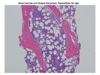
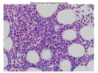
Biopsy

Bone marrow core biopsy low power, hypocellular for age

Bone marrow core biopsy high power, reduced normal elements and increased blasts.

T-cell-ALL-Marrow-Biopsy
#00060119
 
T-cell-ALL-Marrow-Biopsy
#00060118
 
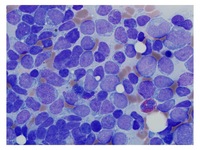
Aspirate

Bone marrow aspirate shows blasts

T-cell-ALL-Biopsy
#00060116
 
T-cell-ALL-Biopsy
#00060115
 
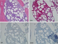
Special Stains

CD 3 positive on special stains

T-cell-ALL-Special-Stains
#00060117
 
Flow Cytometry

Flow cytometric analysis of the marrow aspirate identifies 77% abnormal T-lineage blasts:

CD3+ (cytoplasmic and surface), CD5+, CD7+, HLA-DR+, CD34-, CD8-, CD4-, CD19-, and TdT-.

Diagnosis:  T lymphoblastic leukemia

T-cell-ALL-Flow-Cytometry
#00060114
 

Advertisement intended for health care professionals