Advertisement intended for health care professionals

Refractory Anemia with Excess Blasts (RAEB)

Author:  Elizabeth L. Courville, MD, 10/05/2015
Category: Myeloid Neoplasms and acute leukemia (WHO 2016) > Myelodysplastic Syndromes (MDS) > MDS with excess blasts
Published Date: 01/18/2016
Refractory anemia with excess blasts (RAEB) is a myelodysplastic syndrome (MDS) characterized by increased blasts in the bone marrow and/or peripheral blood. RAEB accounts for approximately 40% of all patient with MDS. Two categories of RAEB are recognized (RAEB-1 and RAEB-2), depending on the blast percentage in the peripheral blood or marrow.
Patients are primarily over the age of 50 years and present with symptoms related to bone marrow failure including anemia, thrombocytopenia, and neutropenia.
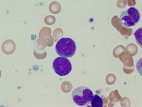
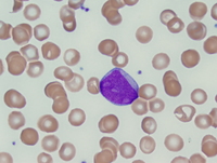
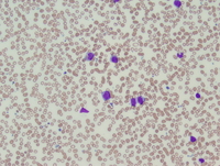
Peripheral blood smear

The peripheral blood frequently shows abnormal cytoplasmic granularity and nuclear segmentation of the neutrophils. There can also be abnormal platelets (large, giant or hypogranular) and red cell anisopoikilocytosis. Blasts are commonly present.

RAEB-1 is defined by 2-4% blasts in the peripheral blood. RAEB-2 is defined by 5-19% blasts in the peirpheral blood.

Refractory-anemia-with-excess-blasts-1-RAEB1-1
#00060180
 
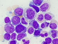
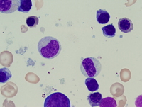
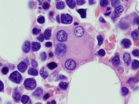
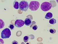
Bone marrow aspirate

Variable degrees of dysplasia are seen in erythropoiesis, granulopoiesis, and megakaryocytes.

RAEB-1 is defined by 5-9% blasts in the bone marrow. RAEB-2 is defined by 10-19% in the bone marrow. The presence of Auer rods in blasts qualifies as RAEB-2 irrespective of the blast percentage.

Refractory-anemia-with-excess-blasts-1-RAEB1-3
#00060182
 
Refractory-anemia-with-excess-blasts-1-RAEB1-4
#00060183
 
Refractory-anemia-with-excess-blasts2-RAEB2-3
#00060190
 
Refractory-anemia-with-excess-blasts2-RAEB2-4
#00060191
 
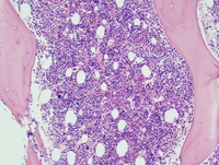
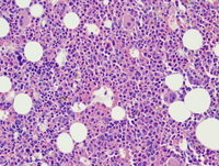
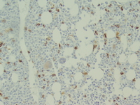
Bone marrow core biopsy

The bone marrow is usually hypercellular. Dysplastic megakaryocytes are frequently seen. CD34 immunohistochemical stain can be helpful in the identification of blasts on the bone marrow core biopsy.

Refractory-anemia-with-excess-blasts-1-RAEB1-6
#00060185
 
Refractory-anemia-with-excess-blasts2-RAEB2-5
#00060192
 
Refractory-anemia-with-excess-blasts-1-RAEB1-8
#00060187
 
Refractory-anemia-with-excess-blasts2-RAEB2-6
#00060193
 
Flow cytometry bone marrow aspirate

Flow cytometry in RAEB can demonstrate increased blasts. Aberrant expression of CD7 or CD56 can be seen on blast cells.

Refractory-anemia-with-excess-blasts2-RAEB2-7
#00060194
 
Transformation to acute leukemia

A subset of cases (approximately 25% of cases of RAEB-1 and 33% of cases of RAEB-2) progress to acute myeloid leukemia (AML). The AML is classified based on 2008 WHO criteria as acute myeloid leukemia with myelodysplasia-related changes, due to the previous history of myelodysplastic syndrome.

Acute-myeloid-leukemia-with-myelodysplasiarelated-changes-2
#00060196
 
Acute-myeloid-leukemia-with-myelodysplasiarelated-changes-1
#00060195
 

Advertisement intended for health care professionals